KnowledgeArticles &
Articles &
Insights

Bruxism+3
When a Smile Affects the Whole Face: Full Mouth Rehabilitation for Bruxism and Facial Collapse
How years of teeth grinding led to facial collapse, and how full mouth rehabilitation with veneers, zirconia crowns, and bridges restored both function and confidence.
25 March 2026

Clinical Cases+7
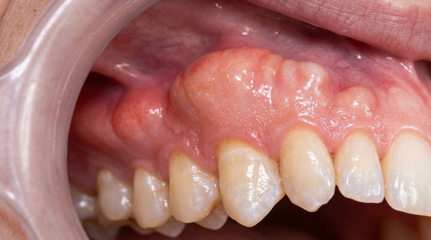
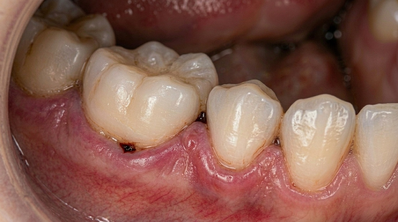
A Smile Reimagined: How Buccal Tori Removal and Zirconia Veneers Transformed One Woman's Confidence
How buccal tori removal and zirconia veneers transformed a patient’s smile and confidence. A clinical case study from ArtSmiles Gold Coast.
25 March 2026

All on x+2
All on 4 Revision with Zirconia Bridge: When a Smile Finally Feels Right
After years of living with an All on 4 result that never felt right, one patient found renewed confidence through a zirconia bridge revision at ArtSmiles.
25 March 2026

Cracked Teeth+7
How Delaying Dental Treatment Affects Your Long-Term Costs
Preventive dental care costs a fraction of emergency treatment. Learn how to plan your dental spending wisely and avoid the financial consequences of waiting too long.
16 March 2026



