Bruxism
Treatment
Grinding your teeth? Let’s protect your smile.
Most people don’t even know they grind their teeth until the damage shows up. If you wake up with jaw pain, headaches, or worn down teeth, bruxism could be the cause. At ArtSmiles in Southport, we help Gold Coast patients understand what’s happening, protect their teeth, and find real relief.
What Is
Bruxism?

Types of Bruxism
Occurs unconsciously during sleep. Patient often unaware until damage is found.
Clenching during stress or concentration. Often habit-driven.
Who Is at
Higher Risk?
Certain factors increase the likelihood of developing bruxism. Patients under significant stress or anxiety, those with an irregular or uneven bite, or people taking certain medications such as SSRIs may be more susceptible. Sleep disorders including obstructive sleep apnoea and a family history of teeth grinding are also associated with higher risk.
What the Research Shows
with an occlusal splint at high loads Shafiee & Nourizadeh 2025
Self-reported bruxism has been shown to be an unreliable indicator of actual grinding activity. In clinical studies, most patients diagnosed with sleep bruxism via polysomnography were previously unaware of the habit. Forces generated during grinding can reach 6–10 times those of normal chewing, placing teeth, restorations, and implants at serious risk. Finite element analysis shows occlusal splints can reduce stress on implants by up to 73% under heavy loading.
Signs, Symptoms
& Diagnosis
Common Signs of Bruxism
You may have bruxism if you experience:
- Flattened or worn tooth surfaces
- Chipped or cracked enamel edges
- Increased tooth sensitivity
- Jaw tightness or pain in the morning
- Clicking or popping of the jaw joint
- Morning headaches or facial pain
- Facial muscle fatigue or tenderness
- Cracked fillings or crowns without obvious cause
How Is Bruxism Diagnosed?
Diagnosis includes:
- Wear pattern examination of tooth surfaces
- Bite and occlusion assessment
- Muscle tenderness evaluation
- Jaw joint function review
- Discussion of symptoms and habits
In some cases, digital scans and bite analysis are used to assess structural impact.
Contributing Factors
Bruxism may be influenced by a range of physical, psychological, and lifestyle factors:
- Stress and anxiety
- Sleep disorders
- Bite imbalance
- Neurological factors
- Certain medications
- Lifestyle factors (caffeine, alcohol)
Bruxism and Your Health
Bruxism affects far more than tooth surfaces. Research shows it is linked to implant and restoration failure, jaw joint disorders, chronic headaches, and sleep problems. The table below summarises the strongest available evidence — all from peer-reviewed systematic reviews and clinical studies.
Book a Bruxism Assessment
Share your details and our team will be in touch within 1 business day to confirm your appointment.
Prefer to call? Reach us on (07) 5588 3677
How We
Treat Bruxism
Teeth grinding treatment at ArtSmiles is structured around diagnosis first, not appliance-first. The right intervention depends on severity, contributing factors, and whether restorative damage is already present.
Comprehensive Assessment
Clinical evaluation of wear patterns, bite, muscles, and jaw joint before any treatment is prescribed.
- —Tooth wear pattern mapping
- —Occlusal analysis
- —Muscle and TMJ palpation
- —Digital scan when indicated
01 · ArtSmilesReady to take the next step?
Book a consultation to discuss your personalised plan.
Custom Splint vs
Store-Bought Guard
Not all night guards are equal. A professionally fabricated dental splint differs fundamentally from a generic chemist guard in fit, function, and long-term effect.
Improperly fitted guards can increase muscle activity in some patients. A custom night guard calibrated to your bite distributes forces evenly. A store-bought alternative does not.
| ✦Custom Dental Splint | Store-Bought Guard | |
|---|---|---|
| Fit | Individually fitted | Generic fit |
| Bite Calibration | Balanced to your bite | No bite calibration |
| Material | Durable hard acrylic | Softer, less durable |
| Designed For | Long-term use | Short-term solution |
| Risk | Reduces joint strain | May worsen imbalance |
If Bruxism Is
Left Untreated
Stages of Grinding Damage
Bruxism and TMJ Disorders
Bruxism may contribute to jaw joint inflammation, clicking or popping, muscle fatigue, and restricted opening. Treatment focuses first on reducing mechanical overload before considering further joint intervention.
Early Intervention
Early management is simpler, more conservative, and avoids the complexity of full-mouth rehabilitation. A custom splint is the most cost-effective way to protect teeth, crowns, and implants from cumulative grinding damage.
Severe Bruxism
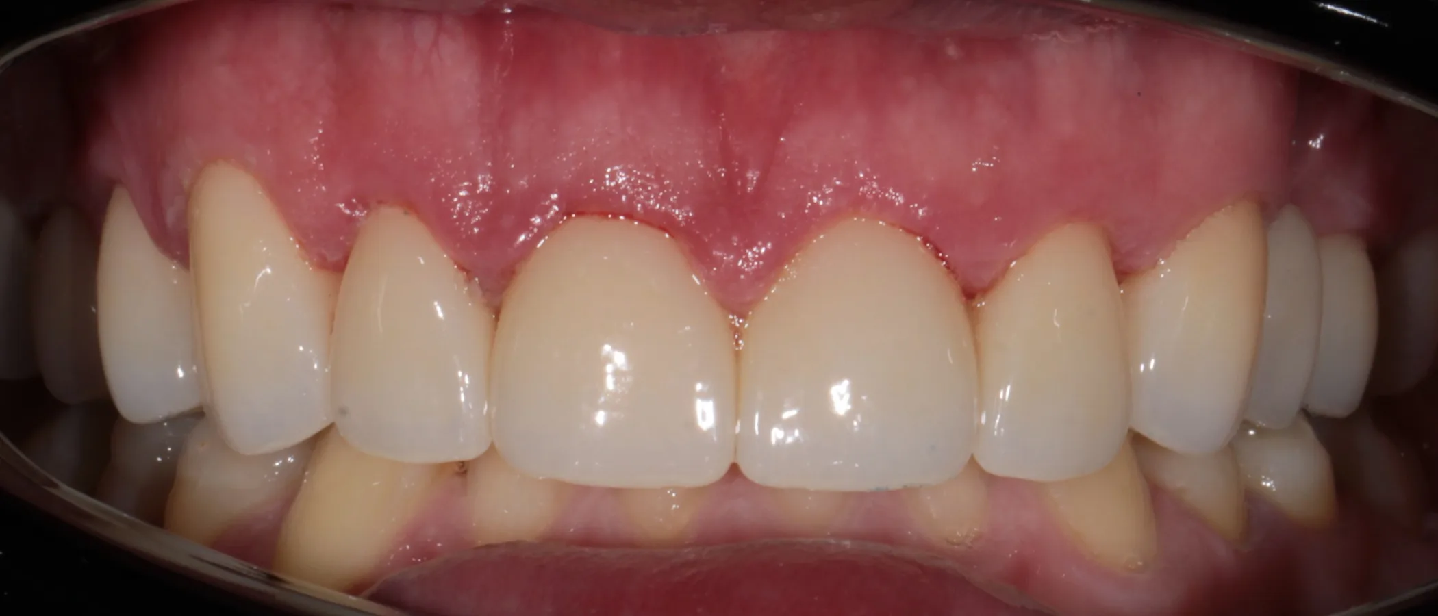
Treated at ArtSmiles
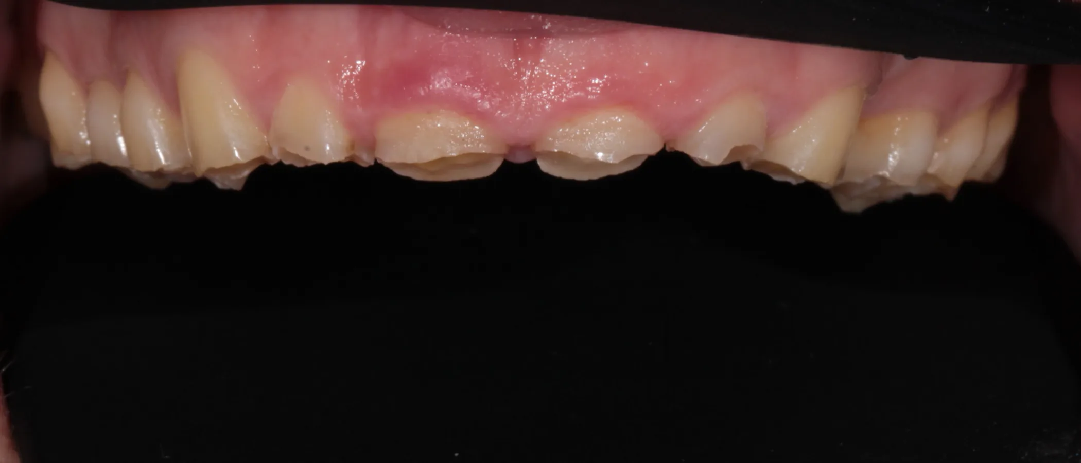
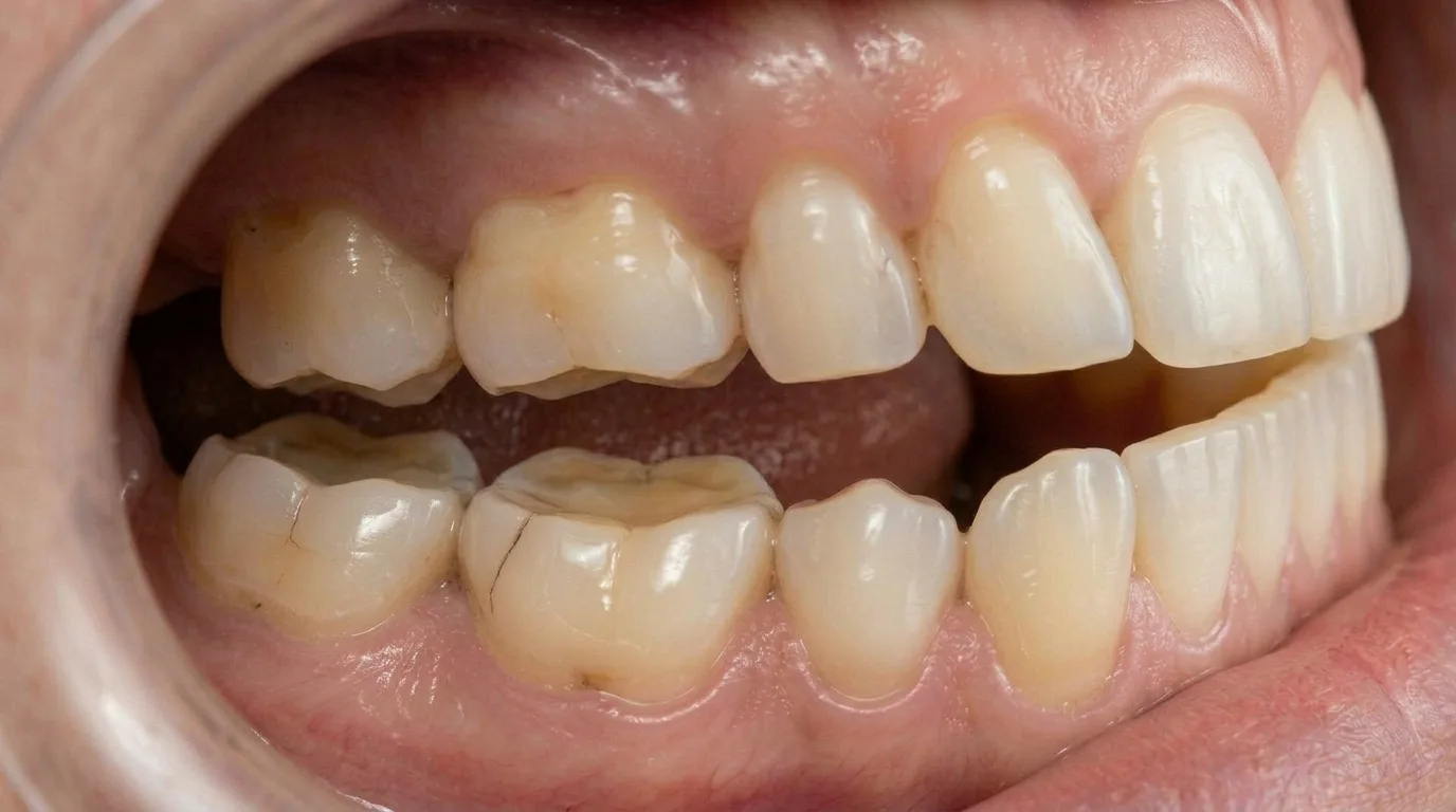
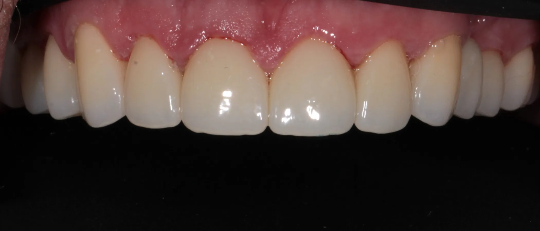
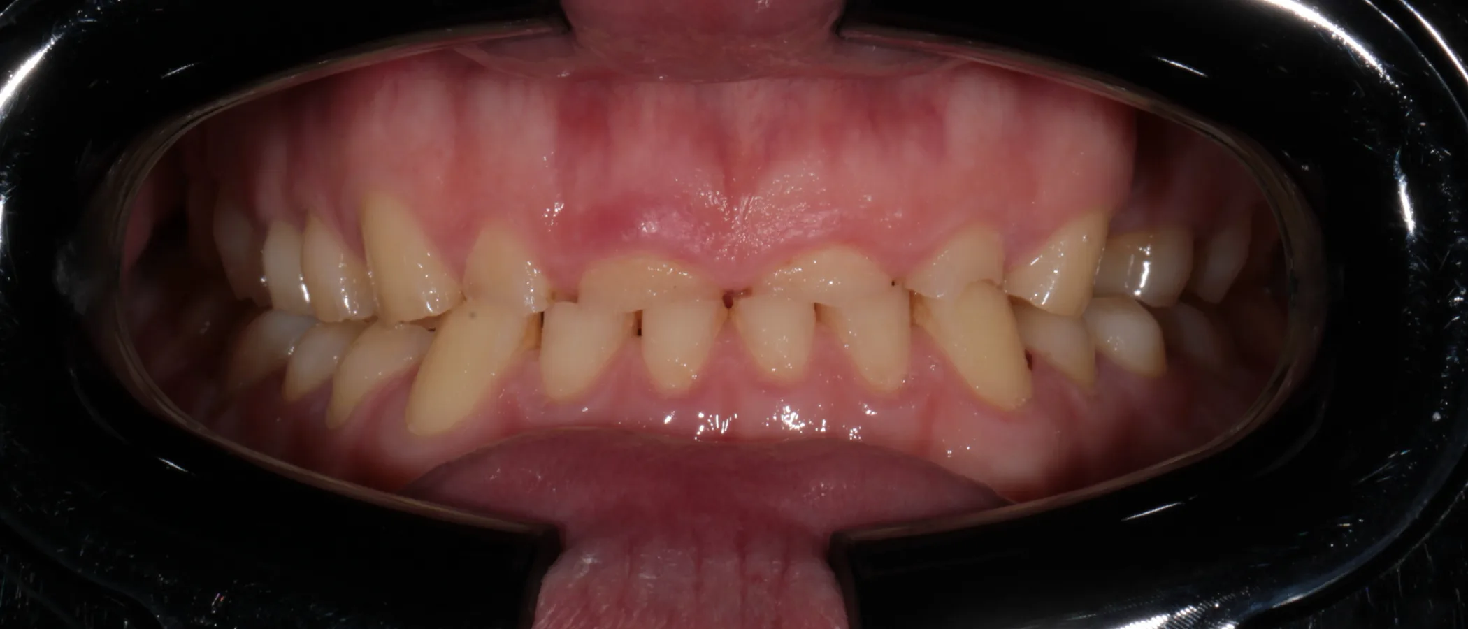
This patient presented with significant tooth wear from years of clenching and grinding. The structural damage had progressed to the point where teeth were visibly shorter, with enamel loss across most surfaces and compromised bite function.
Treatment involved a comprehensive oral rehabilitation with zirconia veneers to restore tooth structure and aesthetics, gum surgery to re-establish soft tissue symmetry, a custom occlusal splint for ongoing protection, and botox application to reduce excessive muscle activity and relieve clenching forces.




Treatment performed by Dr Cristian Dunker — Oral Rehabilitation & Cosmetic Dentistry
Living With
Bruxism
No. Splints protect structure and reduce joint load. The neurological drive to grind is managed, not eliminated.
Hard acrylic splints are durable but will show wear. Annual review ensures proper fit and occlusal balance.
Implants lack the shock-absorbing periodontal ligament of natural teeth. Protection is especially important to prevent implant overload and component failure.
Significant damage may require composite build-ups, crowns, or full-mouth rehabilitation.
Protecting your teeth today prevents complex rehabilitation tomorrow. A custom night guard is the most cost-effective long-term investment in your dental health.
Think You Might Be Grinding?
Most people don’t know until the damage is done. Book a consultation and we’ll check for the signs, explain what’s happening, and help you protect your smile.
Ready to get started?
Prefer to call? (07) 5588 3677
Cost of Bruxism
Treatment
Cost varies depending on the type of appliance, diagnostic complexity, digital scanning requirements, and whether restorative work is needed. A custom night guard Gold Coast patients rely on is an investment in protecting teeth, crowns, and implants from costly grinding damage.
| Treatment | Guide Price |
|---|---|
| Custom Occlusal SplintHard acrylic, lab-fabricated, bite-calibrated | From $950 |
| Diagnostic AssessmentWear mapping, occlusal and muscle assessment | Included |
| Restorative StabilisationIf existing damage requires treatment | Available |
Final pricing confirmed after clinical assessment and treatment planning.
Book a ConsultationPreventive care membership with check-ups, cleans, and savings on treatments. Priority scheduling included.
Flexible Payment Options
We offer flexible payment options. Learn more about dental finance or our Blessing Program for eligible patients.
Understand Your
Oral Health Risk
Our risk assessment takes less than two minutes and helps us identify potential vulnerabilities before they compromise your treatment. The results allow our team to build a personalised prevention plan alongside your care.
- —Decay risk, dietary habits, saliva quality, and bacterial balance
- —Gum disease risk, inflammation patterns, bone support, and hygiene effectiveness
- —Grinding & clenching risk, bite forces, wear signs, and jaw tension
Start Your Assessment
Takes less than 2 minutes. No obligation.
Risks and
Clinical Considerations
Potential Risks Include
Adjustment Period
When first wearing a custom splint, your bite sensation may feel different. Most patients adapt within one to two weeks of consistent nightly wear.
Occlusal Changes
In rare cases, prolonged splint wear without monitoring can lead to temporary bite changes. Regular review ensures proper fit and balanced contact.
Does Not Stop Grinding
A guard protects teeth and distributes forces, but it does not eliminate the neurological drive to grind. The habit persists; the damage is managed.
Improper Fit Risks
An improperly fitted or poorly calibrated appliance can increase muscle activity and jaw strain rather than reducing it. Professional fabrication is essential.
Ongoing Maintenance
Night guards wear over time from grinding forces and require periodic assessment, adjustment, and eventual replacement to maintain protective effectiveness.
Related Articles

Noticing Your Teeth Moving? Here's Why It Happens as We Age
Updated 25 April 2026

Clinical Case: When a Smile Affects the Whole Face: Full Mouth Rehabilitation for Bruxism and Facial Collapse
Updated 25 April 2026

Grinding and Clenching: What It Does to Your Teeth While You Sleep
Updated 25 April 2026

Clinical Case: How a Full Mouth Restoration Reversed Years of Grinding Damage
Updated 25 April 2026
Frequently Asked
Questions
What are the first signs of bruxism?
Early signs include flattened or worn tooth edges, unexplained sensitivity, jaw tightness or soreness upon waking, morning headaches, and facial muscle fatigue. Cracked fillings or chipped enamel without a clear cause may also indicate grinding. Many patients are unaware they grind until clinical examination reveals wear patterns.
Can bruxism damage crowns, veneers, or implants?
Yes. Porcelain crowns and veneers can fracture or chip under excessive grinding forces. Composite restorations wear faster. Implants are particularly vulnerable — they lack the natural shock-absorbing periodontal ligament, so sustained overload can lead to component loosening or failure. A custom occlusal splint is strongly recommended for patients with restorations or implants.
Can teeth grinding cause gum recession?
Yes. The excessive lateral forces generated during grinding can contribute to gum recession, particularly at the necks of teeth. It can also cause abfraction lesions — notch-like defects at the gumline where tooth structure is stressed. Gum recession associated with grinding may require periodontal assessment in addition to splint therapy.
Can children have bruxism?
Yes. Grinding is common in children, often associated with developing dentition, stress, or airway-related factors. In many children, it resolves as the permanent teeth erupt and the bite settles. Routine monitoring is typically recommended rather than immediate appliance therapy, as primary teeth are transitional.
How do I know if my bite is contributing to grinding?
A clinical occlusal assessment evaluates how your teeth come together and identifies premature contacts, uneven forces, or bite imbalances that may trigger or worsen the condition. Signs include grinding on one side, specific worn teeth, or jaw deviation on closing. Digital bite analysis or study models may be used to assess the occlusion in detail.
Can teeth grinding permanently damage my teeth?
Yes. Grinding generates forces well above normal chewing. Over time, this causes progressive enamel loss, tooth flattening, crack formation, fractures, and increased risk of pulp damage requiring root canal treatment. Without protective intervention, damage accumulates and may require extensive restorative treatment.
Is bruxism related to TMJ disorders?
Sustained clenching and grinding places the jaw joints under repetitive load, which can cause inflammation, disc displacement, joint clicking, restricted opening, and chronic facial pain. Not all TMJ patients grind, and not all grinding patients develop TMJ disorders, but the relationship is well established. Addressing the habit is often the first step in managing associated jaw joint problems.
Can bruxism cause headaches and neck pain?
Yes. Sustained jaw muscle activity places significant strain on the muscles of the jaw, temples, and neck. This can cause tension headaches, particularly in the morning after sleep grinding, as well as neck and shoulder pain. Occlusal splint therapy reduces muscle strain and can alleviate associated headache patterns.
Will insurance cover a night guard?
Some private health insurance extras policies include partial rebates for occlusal splints under dental or major dental cover. Coverage varies between insurers and policy levels. We recommend checking with your fund prior to treatment. A personalised quote and item numbers are provided so you can determine your rebate.
Still have questions?
Our team is here to help. Book a consultation to discuss your options.
Our Other General Dentistry
Services
Check-up & Clean
Dentist-led check-up and scale and clean, with recall matched to your individual risk profile. From $9/week with the ArtSmiles Club.
Learn moreTeeth Whitening
Professional whitening using clinically approved agents for safe, controlled, and predictable lightening results.
Learn moreRoot Canal Treatment
Endodontic therapy to remove infected pulp, disinfect the canal system, and preserve your natural tooth.
Learn moreEmergency Dentist
Urgent dental assessment for severe pain, swelling, trauma, or broken teeth with same-day appointments.
Learn moreDental Fillings
Tooth-coloured composite restorations to repair decay or fractures, blending seamlessly with natural tooth structure.
Learn moreThis page has been clinically reviewed by Dr. Cristian Dunker, BDSc, MBA, Principal Dentist at ArtSmiles.
