Written by Dr. Cristian Dunker, BDSc, MBA

If your gums bleed when you brush or floss, it can be unsettling. But you're not alone, and in most cases, it's something that can be treated effectively once you understand what's causing it.
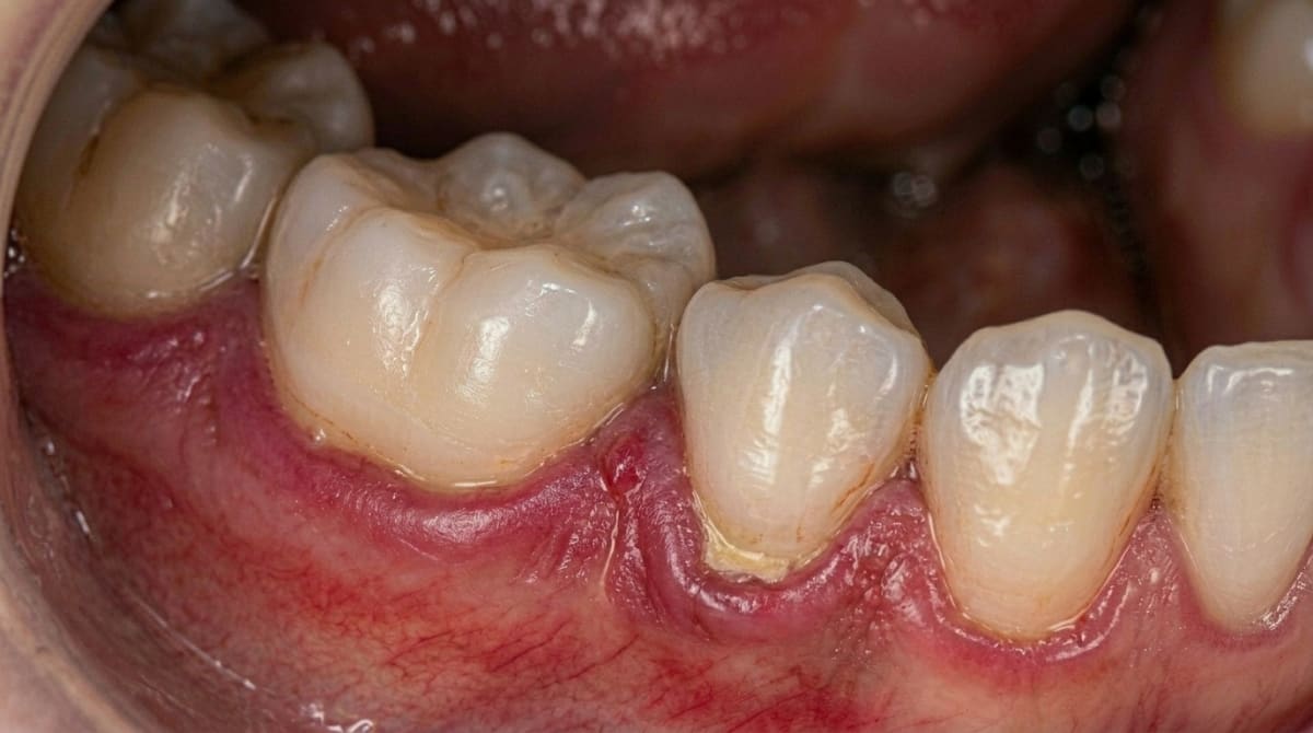
Bleeding gums are your body's way of telling you something isn't quite right. The most common cause is a buildup of plaque along the gum line, which leads to inflammation. Left untreated, this can progress to gum disease, but the good news is that early-stage gum inflammation (gingivitis) is completely reversible with the right care.
Why Do Gums Bleed?
Gum bleeding is usually a sign of inflammation caused by bacteria in plaque. When plaque is not removed regularly, it irritates the gum tissue and causes it to swell and bleed. A landmark study by Löe et al. (1965) first demonstrated that plaque accumulation directly causes gingivitis, and that removing the plaque reverses the condition.
Common risk factors for bleeding gums include:
Plaque and tartar buildup: The primary cause. When plaque hardens into tartar (calculus), it can only be removed by a dental professional
Incorrect brushing technique: Brushing too hard or using a hard-bristled toothbrush can irritate gums. Gentle, circular motions with a soft brush are best
Inconsistent flossing: If you only floss occasionally, your gums may bleed when you do. This usually settles within a week of daily flossing
Hormonal changes: Pregnancy, puberty, and menopause can make gums more sensitive to inflammation
Smoking: Reduces blood flow to the gums and weakens the immune response, making gum disease harder to detect and treat
Diabetes: People with diabetes are more susceptible to infections, including gum disease
Crowded teeth: Overlapping teeth create areas that are harder to clean, allowing plaque to build up
Old or overhanging fillings: Rough edges on old dental work can trap food and bacteria against the gum line
How to Treat Bleeding Gums at Home
If your gums have just started bleeding and there's no significant tartar buildup, improving your daily routine can make a real difference within a week or two.
Brush properly, twice a day
Use a soft-bristled toothbrush and brush for at least two minutes. Focus on the gum line, where plaque tends to accumulate. Electric toothbrushes with pressure sensors can help if you tend to brush too hard.
Floss every night
Flossing removes plaque from between the teeth where your toothbrush can't reach. If your gums bleed when you start flossing regularly, don't stop. The bleeding usually resolves within 3 to 5 days as the inflammation settles. Waterflosser is another good resource in interdental cleaning.
Use an antimicrobial mouthwash
A chlorhexidine or antibacterial rinse can help reduce plaque and calm inflamed gums. Ask your dentist which one is right for you.
When Home Care Isn't Enough
If your gums continue to bleed after two weeks of consistent brushing and flossing, or if you notice other symptoms like swelling, bad breath, or gums pulling away from your teeth, it's time to see a dentist.
These could be signs that plaque has hardened into tartar, which can only be removed with professional cleaning. A deep cleaning (scaling and root planing) removes bacteria and tartar from below the gum line, giving your gums a chance to heal and reattach to the teeth.
Research by Smiley et al. (2015) in a systematic review for the American Dental Association confirmed that scaling and root planing is effective at reducing pocket depth and improving clinical attachment levels in patients with chronic periodontitis.
What Happens If You Ignore Bleeding Gums?
Gingivitis (early-stage gum inflammation) is reversible. But if it's left untreated, it can progress to periodontitis, a more serious form of gum disease that damages the bone supporting your teeth. Over time, this can lead to tooth loosening and even tooth loss.
The progression isn't always obvious. Gum disease often develops painlessly, which is why regular dental check-ups are so important. Your dentist can detect changes in your gum health before you notice any symptoms.
Can Bleeding Gums Affect Your Overall Health?
Yes. There is growing evidence linking gum disease to systemic health conditions. A review by Linden et al. (2013) found associations between periodontal disease and cardiovascular disease, diabetes complications, and adverse pregnancy outcomes. While gum disease doesn't directly cause these conditions, the chronic inflammation involved may contribute to them.
Taking care of your gums is about more than just your mouth. It's about looking after your whole body.
Tips for Preventing Bleeding Gums
Brush twice daily with a soft-bristled toothbrush
Floss every night before bed
Visit your dentist every 6 months for a check-up and clean
Don't smoke. If you need help quitting, talk to your GP or dentist
Eat a balanced diet and limit sugary snacks
Replace your toothbrush every 3 months
We're Here to Help
If your gums are bleeding and you're not sure why, or if you've been putting off a dental visit, there's no judgement here. Our team at ArtSmiles in Southport will take a gentle look, explain what's going on in plain language, and help you get your gum health back on track.
Book an appointment or call us on (07) 5588 3677. The sooner we catch it, the simpler the solution.