Written by Dr. Cristian Dunker, BDSc, MBA

Tooth decay is one of the most common dental problems in the world, but it's also one of the most preventable. Whether you're dealing with an early cavity or trying to stop decay from getting worse, there are clear steps you can take to protect your teeth and keep your smile healthy.
In this article, we'll walk you through what causes tooth decay, how it's treated at different stages, and what you can do at home to reduce your risk.
What Causes Tooth Decay?
Tooth decay (also called dental caries) happens when bacteria in your mouth feed on sugars from food and drink, producing acids that gradually dissolve the hard outer layer of your teeth (enamel). Over time, this creates a cavity, a small hole in the tooth that can grow deeper if left untreated.
A foundational study by Selwitz et al. (2007) published in The Lancet confirmed that dental caries is a diet-dependent disease driven by the interaction between oral bacteria, fermentable carbohydrates, and time. The good news is that because the process is well understood, it can be interrupted at every stage.

How to Prevent Tooth Decay
Watch your sugar intake
Sugar is the main fuel for decay-causing bacteria. This doesn't mean you can never have a treat, but being aware of how often you consume sugary foods and drinks throughout the day makes a real difference. It's the frequency of sugar exposure, not just the amount, that matters most.
Try keeping a food diary for a few days and sharing it with your dentist. You might be surprised by hidden sugars in things like juice, flavoured yoghurt, or cereal.
Brush twice a day with fluoride toothpaste
Fluoride strengthens enamel and helps reverse the very earliest stages of decay. For most adults, a regular fluoride toothpaste (1,000 ppm) is sufficient. If your dentist identifies you as high risk for cavities, they may recommend a prescription-strength fluoride toothpaste (5,000 ppm) for a period of time.
Brush for at least two minutes, focusing on all surfaces of your teeth, especially along the gum line where plaque tends to build up.
Floss every night
Cavities frequently develop between teeth where your toothbrush can't reach. Daily flossing removes the plaque and food debris from these areas before bacteria have a chance to cause damage. Another good alternative for interdental cleaning is a waterflosser.
Visit your dentist regularly
How often you need to visit depends on your risk level:
Low risk: Once a year may be enough
Moderate risk: Every 6 months is recommended
High risk: Every 3 to 4 months for closer monitoring
Your dentist can assess your personal risk based on your history, diet, saliva quality, and existing dental work.
How Dentists Treat Tooth Decay
Treatment depends on how far the decay has progressed:
Early decay (white spot stage)
At the very earliest stage, decay shows up as a chalky white spot on the enamel. At this point, the tooth hasn't actually developed a cavity yet. With improved brushing, fluoride treatment, and dietary changes, early decay can sometimes be reversed without any drilling at all.
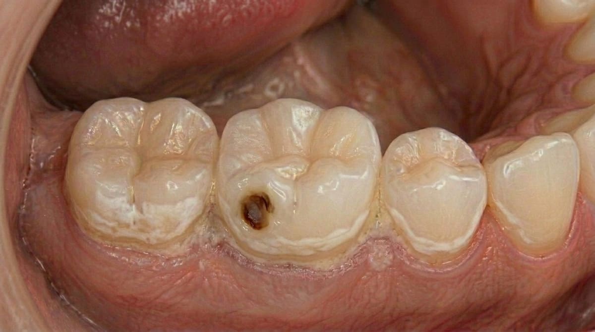
Small to moderate cavities
Once a cavity has formed, it needs to be treated with a dental filling. Your dentist removes the decayed portion of the tooth and fills the space with a tooth-coloured composite material that blends naturally with your smile.
Large cavities
If a cavity is too large for a filling, a crown may be needed to restore the tooth's strength and shape. This is a custom-made cap that fits over the remaining tooth structure.
Decay reaching the nerve
When decay reaches the inner pulp of the tooth (where the nerve lives), it can cause significant pain and infection. At this stage, a root canal is usually needed to remove the infected tissue, clean the canals, and seal the tooth. A crown is then placed on top to protect it long term.
Dental sealants
For young patients who are particularly prone to cavities (especially on their back teeth), dental sealants can be applied as a protective coating over the chewing surfaces. They're quick, painless, and can significantly reduce the risk of new cavities forming in those areas.
Can You Reverse Tooth Decay?
Only in the very earliest stages, before a physical cavity has formed. Once the enamel has broken down and a hole has developed, the damage is permanent and needs professional treatment. That's why regular dental visits are so valuable. Your dentist can spot early signs of decay before you even notice anything.
What Happens If You Ignore Tooth Decay?
Left untreated, a small cavity will continue to grow. Eventually it can reach the nerve, causing pain, infection, and in some cases abscess formation. At that point, treatment becomes more complex and more expensive. In the worst cases, the tooth may need to be extracted entirely.
The message here isn't to scare you, but to reassure you that catching things early makes everything simpler. A small filling today is always better than a root canal or extraction tomorrow.
Take the First Step
If it's been a while since your last dental visit, or if you've noticed any sensitivity, dark spots, or rough edges on your teeth, don't wait. The sooner we take a look, the easier it is to treat.
At ArtSmiles in Southport, we take a gentle, no-judgement approach to dental care. Whatever state your teeth are in, we're here to help you get back on track. Book an appointment or call (07) 5588 3677.


