
Teeth are not fixed in place for life. Even people who never needed braces often notice crowding, gaps, or shifting as they get older.
These changes usually happen slowly and without pain, but they can affect your bite, appearance, and long-term oral health. Tooth movement is rarely random, it is usually a response to changes in bone, gums, or biting forces.
This article explains why teeth shift with age, what causes it, and when to seek help.
Table of Contents
Teeth Naturally Move Over Time
Teeth are held in place by the periodontal ligament, not fused directly to bone. This allows small movement in response to everyday forces like chewing, swallowing, and tongue pressure. Over time, these forces can add up, especially if the supporting structures weaken.
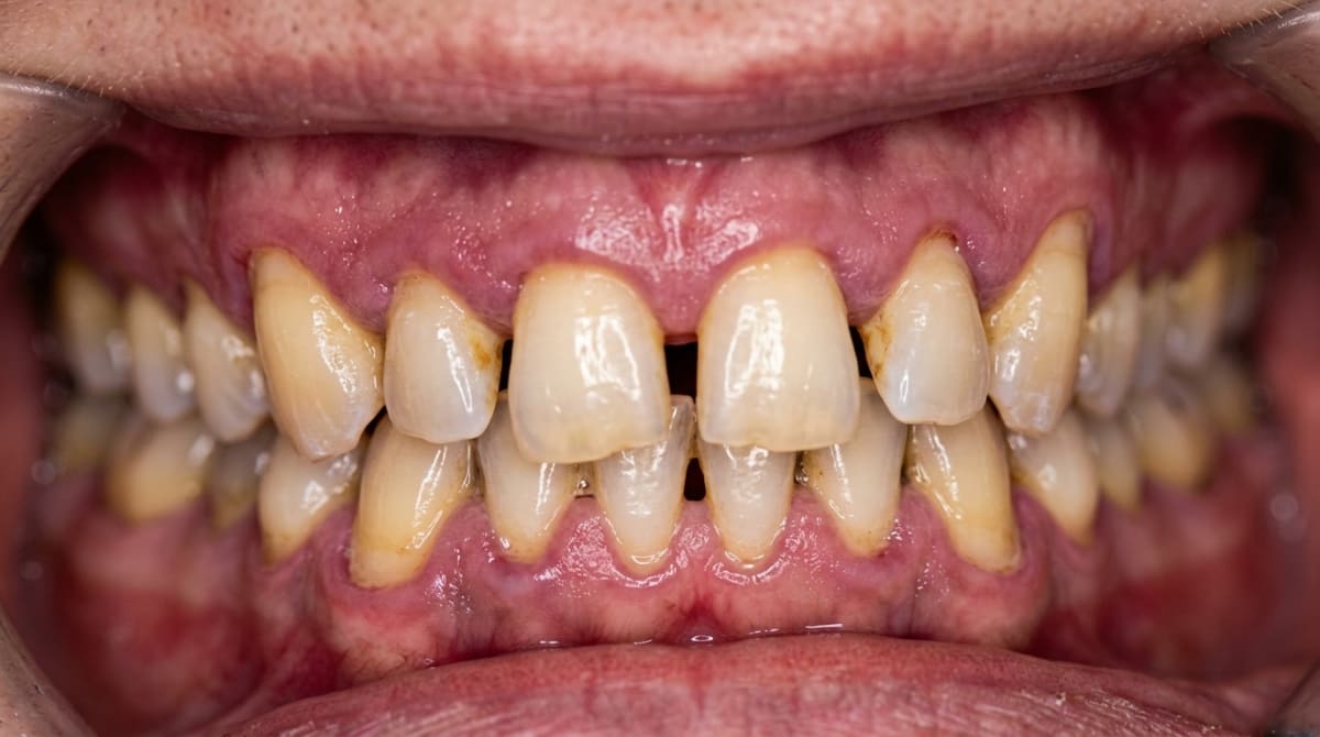
Age alone can cause minor movement, but noticeable shifting usually means something else is happening underneath. Periodontal disease is the most common underlying cause of adult tooth movement (Heitz-Mayfield, 2005).
The Most Common Reasons Teeth Shift With Age
Bone Loss From Gum Disease
This is the most common cause of adult tooth movement. As bone support is lost due to gum disease, teeth begin to flare, tilt, rotate, or drift. In many cases, bone loss starts years before movement becomes visible. Periodontal disease affects a significant portion of the adult population worldwide (Albandar, 2002).
Age-Related Bone Changes
With age, bone becomes thinner and less dense. This makes teeth more responsive to pressure, particularly the lower front teeth, which often crowd over time.
Grinding and Clenching
Heavy forces from bruxism push teeth outward and overload the periodontal ligament. Over years, this leads to flaring, gaps, wear, and instability. A standardised grading system now helps clinicians assess bruxism severity and its effects on the teeth (Lobbezoo et al., 2013).
Missing Teeth
When a tooth is lost, nearby teeth collapse into the space. This causes tilting, rotation, over-eruption, and bite changes. The consequences of missing teeth go beyond the gap itself, surrounding teeth, the opposing arch, and the bite can all be affected (Craddock, 2009).
Orthodontic Relapse
Even after braces, teeth tend to move throughout life. Lack of retainer use, grinding, gum disease, and natural ageing all contribute. Long-term studies show that lower front teeth are particularly prone to crowding again after orthodontic treatment (Little, 1999).
Gum Recession
Loss of gum and bone support through recession reduces stability, creating gaps, black triangles, and further movement.
Why Lower Front Teeth Commonly Crowd
Lower incisor crowding is one of the most common age-related dental changes. This happens because:
The jaw continues subtle forward growth throughout life
Chewing forces push teeth toward the midline
Bone support decreases with age
The dental arch gradually narrows
Almost all adults experience some degree of this change, even those who never had orthodontic issues earlier in life.
How to Prevent Teeth from Shifting
Most adult tooth movement is preventable if you address the underlying drivers before they do damage. The earlier you act, the less you need to treat.
Keep gums stable. Professional cleans every six months and consistent home care protect the bone that holds your teeth in position. Gum disease is the single biggest cause of adult tooth shifting, so this step matters more than any other.
Manage grinding and clenching. If you wake with a sore jaw or your partner hears you grind at night, a custom night guard reduces the lateral force that nudges teeth out of line.
Replace missing teeth early. An empty socket invites the neighbouring teeth to drift and the opposing tooth to over-erupt. A dental implant, bridge, or partial denture stops that chain reaction.
Wear retainers for life. If you have had braces or aligners, retention is what keeps the result. Most patients do well with night-only wear once bone has settled.
Act on small changes. New gaps, a tooth that suddenly looks longer, or a bite that feels different are all signs worth checking. Catching movement early usually means a simpler fix.
How We Treat Shifting Teeth
Stabilise the Foundation
If gum disease is present, periodontal therapy is essential to stop further bone loss before any other treatment begins.
Reduce Damaging Forces
Night guards and bite adjustments protect teeth from grinding-related movement and prevent further damage to the periodontal ligament.
Replace Missing Teeth
Dental implants or bridges prevent collapse into empty spaces and restore function to the bite.
Correct Alignment
Once gums are stable, orthodontic treatment may be recommended. Options include clear aligners or targeted orthodontics depending on the complexity of the case.
Maintain Long-Term Stability
Retainers and night guards are critical to protect results for life. Without ongoing retention, teeth will naturally tend to shift again over time.
Concerned About Your Gums?
If you are noticing shifting, crowding, or looseness, it often points to something treatable in the gums or bite. Book a consultation with our team on the Gold Coast and we will map out the cause together.
When to Seek Help
If you have noticed changes in your smile, bite, or tooth position, it is worth having it assessed sooner rather than later. Early diagnosis makes stabilisation simpler and prevents future complications.
If you are concerned about shifting teeth, you can book an appointment online or get in touch with the team at ArtSmiles Gold Coast. We can identify the cause and create a personalised plan to protect your oral health.
Frequently Asked Questions
Why are my teeth moving as an adult?
Adult teeth shift for several reasons: gum disease weakening the supporting bone, grinding or clenching forces, missing teeth letting neighbours drift, and natural age-related changes to the jaw. Assessment helps identify which factor is driving the movement in your case.
Can teeth shift with age even if I had braces?
Yes. Without a retainer, teeth will slowly return toward their original position. This orthodontic relapse is one of the most common reasons adults notice new crowding on the lower front teeth in their 30s and 40s.
Why are my bottom teeth getting crowded?
Lower front teeth are most exposed to forward pressure from the jaw, tongue, and remaining molars. As bone volume reduces and the dental arch narrows slightly with age, the lower incisors are the first to show visible crowding.
How can I stop my teeth from shifting?
Treat the cause first. Keep gums healthy with regular hygiene visits, protect teeth from grinding with a night guard if needed, replace missing teeth promptly, and wear retainers long term after any orthodontic treatment.
At what age do teeth stop moving?
Teeth never stop moving completely. The periodontal ligament keeps them responsive to pressure for life, which is why retention matters at every age. What you can control is how much they move and in which direction.
Written by Dr. Cristian Dunker, BDSc, MBA.
Medically reviewed by Dr. Cristian Dunker.