Sometimes a smile concern goes deeper than colour or alignment. For one patient at ArtSmiles, an uncommon bony growth on her upper jaw was quietly affecting the way her lips moved when she smiled, changing the entire look of her face. She had been living with it for years, assuming nothing could be done.
This is the story of how a combination of buccal tori removal and zirconia veneers gave her back a smile she felt proud of.
What Is a Buccal Torus?
Tori (plural of torus) are benign bony growths that can develop inside the mouth. The most common types are torus palatinus (on the roof of the mouth) and torus mandibularis (along the inner lower jaw). A buccal torus, however, is far less common. It grows on the outer side of the upper jaw, near the cheek.
According to published literature, the prevalence of oral tori varies widely across populations, with buccal exostoses being the rarest of the three types. A case report in BMJ Case Reports describes the surgical approach to tori removal and notes that intervention is recommended when these growths interfere with function, diet, speech, or quality of life.
Most tori are harmless and don't require treatment. But when a buccal torus is large enough to push against the soft tissue of the cheek or lip, it can change the way the lip moves during smiling, creating an asymmetric or exaggerated lift that feels unnatural.

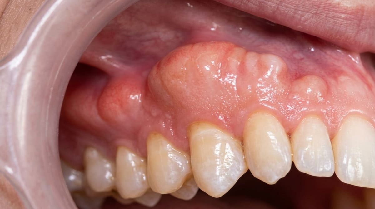
Example of buccal tori that impacts chewing and aesthetics. This is not an image of the clinical case, but a representation of the issue.
The Patient's Story
This patient, a woman in her mid-50s, came to ArtSmiles feeling frustrated. She had noticed for years that her upper lip lifted unevenly when she smiled, and it made her feel self-conscious in photos and social situations. She also had concerns about the overall colour and shape of her teeth, which had worn down over time.
After a thorough assessment, we found the root cause: a buccal torus on the outer upper jaw was physically pushing the lip tissue upward. Combined with age-related wear and a slightly collapsed bite, the overall effect was a smile that didn't reflect how she felt inside.


The Treatment Plan
This case required a combined approach, addressing the structural issue first and then the aesthetic concerns. The treatment plan included three stages:
Step 1: Buccal Tori Removal
The bony growth was carefully removed under local anaesthesia. This is a straightforward procedure, but it requires precision to avoid disrupting surrounding tissue. Once the torus was removed, the lip could move naturally again, and the asymmetric lifting during smiling was resolved.
Recovery from tori removal is typically smooth, with most patients experiencing mild swelling for a few days. The area heals well within two to three weeks.


Step 2: Bite Correction
Years of wear had reduced the vertical dimension of her bite, contributing to a slightly aged appearance around the mouth. Before placing any veneers, we needed to restore the correct bite height so that the final result would be both functional and natural looking.
This involved careful analysis of facial proportions, lip support, and the relationship between her upper and lower teeth.
Step 3: Zirconia Veneers
With the structure corrected, we designed a set of custom zirconia veneers in shade BL3, a bright but natural tone that suited her complexion and facial features. Zirconia was chosen for its exceptional strength and lifelike translucency, making it ideal for cases where both aesthetics and durability matter.
Each veneer was crafted to support proper lip movement and complement the natural proportions of her face. The result was a smile that looked completely natural, as if the teeth had always been that way.
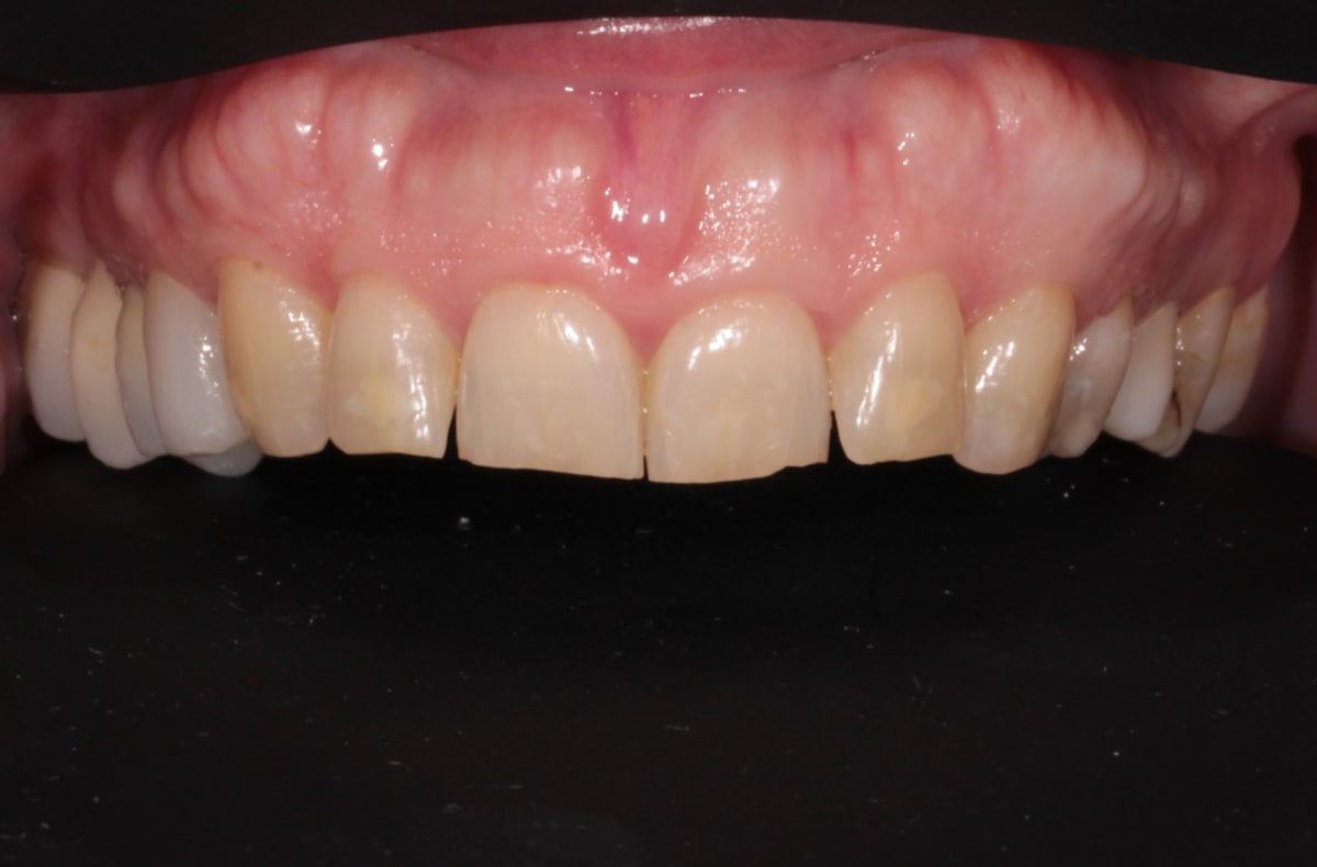
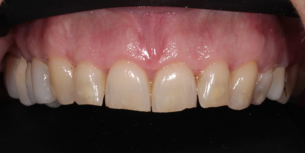
The Result
The transformation went well beyond whiter teeth:
Natural lip movement restored: The buccal torus removal allowed her upper lip to sit and move naturally when smiling
Improved facial proportions: Restoring the bite height gave her lower face a lifted, balanced appearance
A bright, natural smile: The zirconia veneers gave her teeth a beautiful, consistent look that complemented her features
Renewed confidence: She told us she started smiling freely again, something she hadn't done in years

When Dentistry Does What You'd Expect from Surgery
What makes this case special is that the patient achieved results she thought would require cosmetic surgery. By addressing the underlying structural issue (the buccal torus) alongside the aesthetic concerns (worn teeth and bite collapse), we delivered a result that changed the way her entire face looked when she smiled.
This is the power of combining surgical and cosmetic dentistry in one coordinated plan. It's not about doing more; it's about understanding what's really causing the problem and treating it at the source.
Could This Apply to You?
If you've noticed that something about your smile doesn't look or feel right, but you can't quite put your finger on it, the issue might not be your teeth alone. Bony growths, bite changes, and soft tissue dynamics all play a role in how your smile appears.
At ArtSmiles in Southport, we look at the full picture. Not just your teeth, but how your lips, jaw, and facial proportions all work together. If something is holding your smile back, we'll find it and we'll fix it.
Curious about what's possible for your smile? Book your complimentary consultation and let's have a conversation about it.
Frequently Asked Questions
What is the difference between buccal tori, palatal tori, and mandibular tori?
All three are benign bony growths that develop in the mouth. Torus palatinus appears on the roof of the mouth along the midline. Torus mandibularis sits on the inner surface of the lower jaw, usually near the canines and premolars. Buccal tori (or buccal exostoses) are the rarest and grow on the outer surface of the upper or lower jaw, near the cheek. They share similar causes but differ in location and visibility.
Is buccal tori removal painful?
The procedure is performed under local anaesthesia, so there is no pain during surgery. Mild swelling and tenderness are common for two to three days afterwards and can usually be managed with standard over-the-counter pain relief. Most patients return to normal activities within 24 to 48 hours.
How long does buccal tori removal take to heal?
Soft tissue healing usually takes two to three weeks. Underlying bone remodelling continues for several months after the surface has healed. Most patients can resume normal eating within a week, starting with softer foods and building back to their usual diet as comfort allows.
Can buccal tori grow back after removal?
Recurrence is uncommon when the bony growth is fully removed and the underlying cause is addressed. In some cases, ongoing factors such as heavy bite forces or bruxism can contribute to slow recurrence over years. A nightguard may be recommended where bruxism is a contributing factor.
Why is zirconia often chosen for veneers in cases involving structural changes?
Zirconia is one of the strongest dental ceramics available, which makes it well suited for cases where the bite has been altered or where strong chewing forces are present. It also offers good translucency for a natural appearance and bonds reliably to prepared tooth structure. The choice between zirconia, porcelain, and composite is made case by case based on bite, tooth structure, and aesthetic goals.
Disclaimer
This article documents one patient's treatment at ArtSmiles. It is shared for educational purposes with the patient's written consent. Individual results vary and depend on factors including oral health, bone and gum condition, general medical history, and how well the restoration is maintained after treatment. Nothing in this article is a guarantee of outcome, a substitute for a clinical examination, or advice specific to your case. Any treatment carries risks and potential complications, which will be explained to you at consultation.
Before starting any dental treatment, book a consultation so we can assess your teeth, gums, and bone in person, take the imaging we need, and discuss the options, timelines, and costs that apply to your situation.
Case executed by Dr Cristian Dunker
General Dentist
AHPRA DEN0002257085
ArtSmiles, Southport, Gold Coast




