Cracked
Teeth
Don’t ignore a cracked tooth. We can help.
A crack in your tooth might seem small, but it can get worse quickly if left untreated. Whether it’s a tiny line you can barely see or a chip that’s causing real pain, the best thing you can do is get it checked early. At ArtSmiles in Southport, we’ll figure out exactly what’s going on and recommend the simplest, most effective fix.
What Causes
a Cracked or Chipped Tooth?
- Biting hard foods – ice, nuts, or hard objects can create surface cracks
- Grinding or clenching – ongoing pressure weakens enamel over time
- Previous large fillings – teeth with extensive restorations may be more fragile
- Sudden trauma – accidents or impact can cause visible fractures
- Natural wear – over time, small structural weaknesses can develop

When to Seek
an Assessment for Cracked Teeth
Visible crack line or chipped surface
Sharp or uneven edge you can feel with your tongue
Pain or discomfort when biting or releasing pressure
Sensitivity to cold, heat, or sweet foods
A splitting sensation when biting down
Swelling or tenderness near the affected tooth
Speak With Our Team About Cracked Tooth Treatment
Share your details and our team will be in touch within 1 business day to confirm your appointment.
Prefer to call? Reach us on (07) 5588 3677
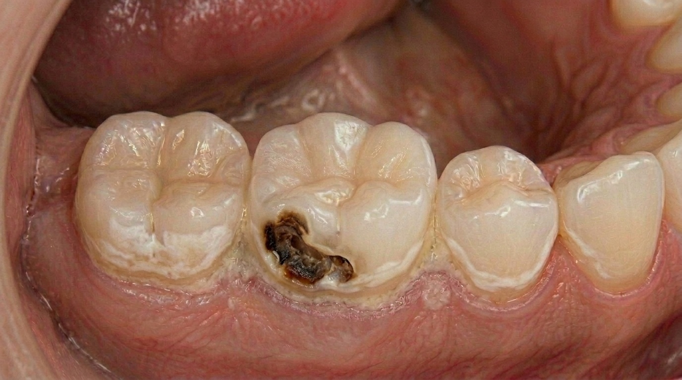
Cracked Teeth
Treatment Gallery
AHPRA Compliance Disclaimer: Individual results may vary. Images are for illustrative purposes only and results depicted are not guaranteed. Outcomes depend on individual patient circumstances, treatment suitability, and compliance with aftercare instructions. ArtSmiles Dental complies with all applicable AHPRA advertising guidelines.
How We Assess
a Cracked Tooth
Every crack is different. We assess depth, direction, and structural integrity before recommending how to repair it.
Fracture Depth and Direction
- —Visual and tactile examination of the crack line
- —Bite tests to reveal fracture extent
- —X-rays where deeper involvement is suspected
Step 01 · ArtSmilesReady to take the next step?
Book a consultation to discuss your personalised plan.
Choosing the Right
Solution
Important: Treatment of cracked teeth carries no guarantee of long-term success. The outcome depends on the type, depth, and direction of the fracture, as well as how long the crack has been present. In some cases, a tooth that initially appears restorable may not respond to treatment as expected, and extraction may ultimately be required. Your dentist will discuss the prognosis honestly during your assessment so you can make an informed decision.
Worried About a Cracked Tooth?
The sooner you get it checked, the more options you’ll have. Book a consultation and we’ll take a close look.
Ready to get started?
Prefer to call? (07) 5588 3677
Types of
Tooth Fractures
Classification of Tooth Fractures
Craze Lines
Superficial hairline cracks limited to the outer enamel. Extremely common in adult teeth, usually asymptomatic, and rarely require treatment beyond routine monitoring.
Fractured Cusp
A piece of the chewing surface breaks away, typically around an existing filling. Usually does not affect the pulp and can be restored with a crown or onlay.
Cracked Tooth
A crack extends from the chewing surface vertically toward the root. If identified early, the tooth can often be saved with a crown. If the crack reaches the pulp, root canal treatment may be needed first.
Split Tooth
A cracked tooth that has progressed into two distinct segments. A split tooth cannot usually be saved intact, though in some cases a portion may be retained depending on the position and extent of the split.
Vertical Root Fracture
A crack that begins in the root and extends upward toward the chewing surface. Often produces minimal symptoms until the surrounding bone and gum become infected. Extraction is typically required.
Related Articles

"It Doesn't Hurt"… and That's Why Dental Problems Are Often Missed
Updated 25 April 2026

What Happens When You Wait Too Long With a Cracked Tooth
Updated 25 April 2026

Why Dental Problems Don't Fix Themselves
Updated 22 April 2026

What Really Happens When a Cavity Is Left Untreated
Updated 22 April 2026
Frequently Asked
Questions
What causes a tooth to crack?
The most common causes include repetitive stress from grinding or clenching, large existing fillings that leave thin walls of tooth structure, and sudden impact from biting something unexpectedly hard. Temperature cycling — repeatedly consuming very hot then very cold foods — can also weaken enamel over time. In many cases there is no single event; small structural weaknesses accumulate gradually until the tooth eventually gives way.
Can a cracked tooth be saved?
In most cases, yes. The ability to save a cracked tooth depends on how far the crack extends and in which direction. Cracks confined to the crown of the tooth, above the gumline, are generally restorable with a veneer or crown. If the crack extends into the root or splits the tooth vertically through the root, extraction may be necessary. Early assessment significantly increases the chance of a predictable repair.
When is a crown necessary instead of a veneer?
The decision depends on how much healthy tooth structure remains after the crack is addressed. When the damage is limited to the visible front surface and the underlying structure is sound, a veneer can restore shape and strength. When a large portion of the tooth is compromised — for example, if a deep crack wraps around from the biting surface or the tooth has already been heavily filled — a crown provides full-coverage protection and a more predictable long-term outcome.
Can I prevent my teeth from cracking?
Some cracks cannot be predicted or prevented, but several measures reduce the risk significantly. If you grind or clench your teeth, a custom night guard protects tooth surfaces from excessive load. Avoiding habits such as chewing ice, biting nails, or opening packaging with your teeth reduces surface stress. Regular dental reviews allow early detection of structural weakening, including teeth with old large fillings that may benefit from a crown before fracture occurs.
Can a cracked tooth heal on its own?
Unlike bone, tooth structure does not regenerate or heal once it is cracked. A superficial craze line in the enamel may remain stable indefinitely without treatment, but a true crack that extends into the dentine will not close or repair itself. Without treatment, it is likely to deepen over time, especially under regular biting forces. The sooner a crack is assessed, the more conservative and predictable the repair tends to be.
Is a cracked tooth a dental emergency?
It depends on the symptoms. A crack with no pain or sensitivity can usually wait for a scheduled appointment within a few days. However, if you are experiencing sharp pain when biting, throbbing or spontaneous pain, swelling, or a visible piece of tooth has broken away, it should be treated as an urgent concern. Our Gold Coast practice offers same-day emergency assessments for patients in acute discomfort to stabilise the tooth and prevent further damage.
Does a cracked tooth always cause pain?
Not always. Some cracks cause sharp pain when biting or releasing pressure, while others produce sensitivity to temperature. Superficial cracks on the outer enamel may cause no symptoms at all. The absence of pain does not mean a crack is harmless. Cracks can deepen over time, and early assessment is the most reliable way to prevent the problem from progressing to a point that requires more complex treatment.
What is the difference between a craze line and a fracture?
Craze lines are hairline cracks confined to the outer enamel surface. They are extremely common, usually cause no symptoms, and rarely require treatment beyond monitoring. A fracture extends deeper, into dentine or beyond, and typically causes symptoms such as pain on biting, temperature sensitivity, or a visible break. The distinction matters because the treatment approach differs significantly.
What happens if a crack reaches the nerve?
If a crack extends into the pulp, the inner chamber containing the nerve and blood supply, inflammation or infection can develop. This typically causes more persistent or spontaneous pain. In these cases, root canal treatment is usually required before a crown is placed. Root canal treatment removes the inflamed or infected tissue, relieves symptoms, and allows the tooth to be preserved with a crown long-term.
How is a cracked tooth diagnosed?
During your appointment at our Southport clinic, your dentist will walk you through each diagnostic step so you understand what is being assessed. The process is straightforward and typically takes around 20 minutes. It may include transillumination, where a light is passed through the tooth to reveal hidden fracture lines, and bite tests using a small cushion to pinpoint where the discomfort originates. X-rays are taken when deeper involvement is suspected. In some cases, an old filling needs to be removed before the full extent of the crack becomes visible.
What happens if a cracked tooth is left untreated?
An untreated crack can progress in several ways. It may deepen under biting pressure until it reaches the nerve, causing persistent pain and requiring root canal treatment. In some cases, the crack can extend below the gumline or split the tooth vertically, at which point the tooth may no longer be restorable and extraction becomes necessary. Bacteria can also enter through the crack and cause infection. Early intervention preserves more tooth structure and keeps treatment simpler.
How much does cracked tooth treatment cost on the Gold Coast?
The cost depends on the type and extent of the fracture and the treatment required. Simple composite bonding for a small chip may start from a few hundred dollars, while a porcelain crown for a deeper crack is a larger investment. We provide a detailed treatment plan with all fees outlined after your initial assessment, so there are no surprises. Your health fund rebate will also be confirmed before treatment begins.
Still have questions?
Our team is here to help. Book a consultation to discuss your options.
This page has been clinically reviewed by Dr. Cristian Dunker, BDSc, MBA, Principal Dentist at ArtSmiles.
