Teeth
Colour
Brighter, whiter, and naturally you.
Stained, yellowed, or uneven teeth can make you feel self conscious every time you smile. Whether it’s years of coffee, natural ageing, or old dental work that no longer matches, the right solution starts with understanding why it’s happening. At ArtSmiles in Southport, we’ll find the best way to brighten your smile and help you feel confident again.
What Causes
Tooth Discolouration?
- Natural ageing: enamel thins over time, making teeth appear more yellow or dull
- Coffee, tea, and red wine: pigments gradually build up on the enamel surface
- Smoking: causes yellow or darker staining that becomes harder to remove over time
- Certain medications or past treatments: some antibiotics and procedures cause internal colour changes
- Inconsistent oral hygiene: plaque and surface stains accumulate over time

When to Seek an Assessment
Gradual yellowing visible in photos over time
Noticeable colour difference between upper and lower teeth
Uneven or patchy colour across the smile
A restoration that no longer matches your natural teeth
Staining that does not improve with regular brushing
Discuss Your Teeth Colour Options With Us
Share your details and our team will be in touch within 1 business day to confirm your appointment.
Prefer to call? Reach us on (07) 5588 3677
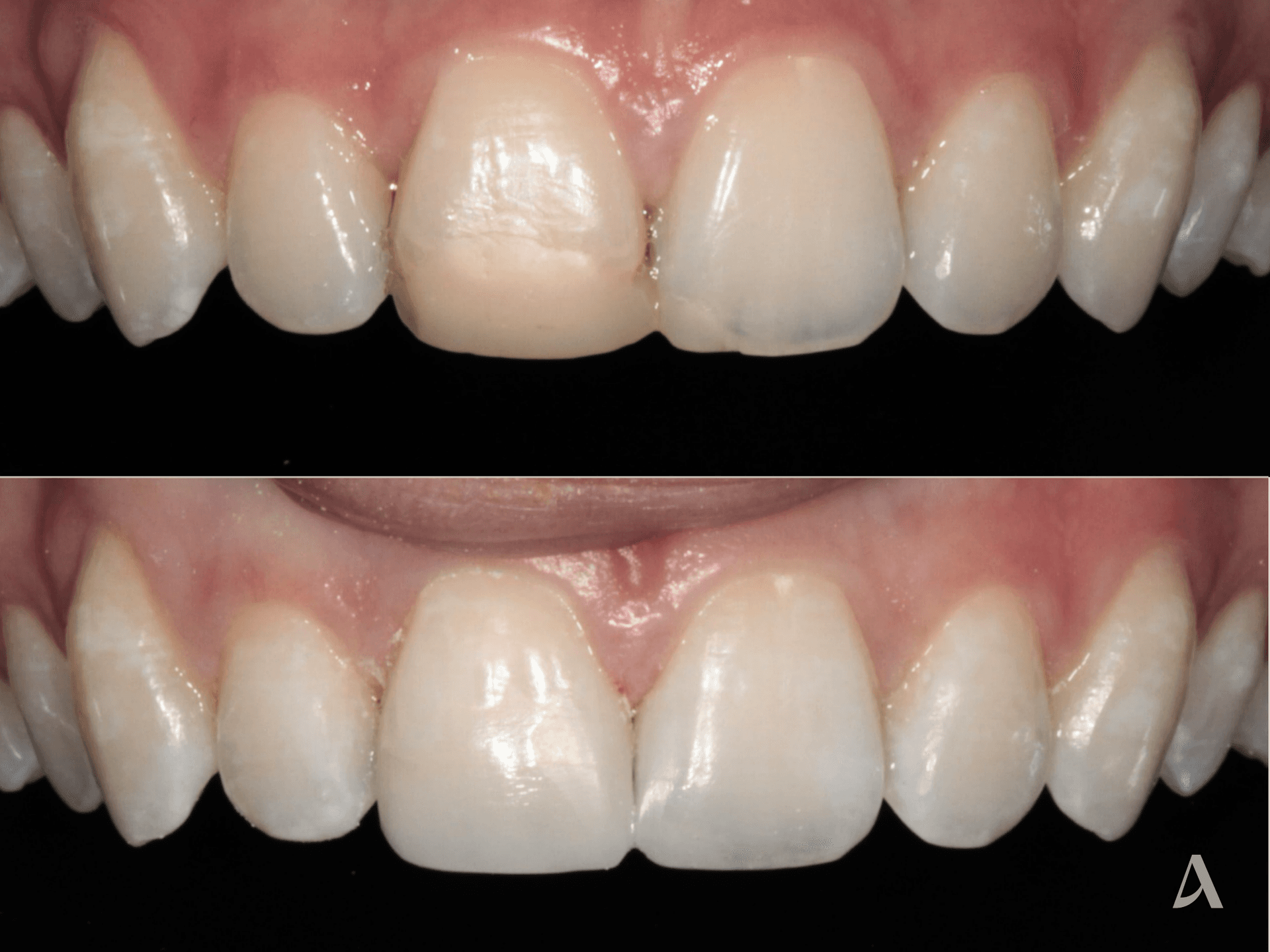
Teeth Colour
Treatment Gallery
AHPRA Compliance Disclaimer: Individual results may vary. Images are for illustrative purposes only and results depicted are not guaranteed. Outcomes depend on individual patient circumstances, treatment suitability, and compliance with aftercare instructions. ArtSmiles Dental complies with all applicable AHPRA advertising guidelines.
How We Assess
Teeth Colour
Every recommendation begins with a clinical assessment. We identify the cause before recommending a solution.
Colour Classification and Cause Assessment
- —Identification of whether discolouration is surface-level or internal
- —Review of your dental history and contributing habits
- —Assessment of existing restorations that may affect the result
Step 01 · ArtSmilesReady to take the next step?
Book a consultation to discuss your personalised plan.
Teeth Whitening or Veneers —
Choosing the Right Solution
Want a Brighter Smile?
Book a colour assessment and we’ll show you the best way to brighten your teeth. Whether it’s whitening, veneers, or something else entirely.
Ready to get started?
Prefer to call? (07) 5588 3677
Related Articles

Noticing Your Teeth Moving? Here's Why It Happens as We Age
Updated 16 April 2026

Is Oil Pulling Good for Oral Health?
Updated 16 April 2026

Do I Have to Get Veneers for All My Teeth?
Updated 16 April 2026

Menopause and Your Mouth: How Perimenopause, Menopause and Postmenopause Affect Your Oral Health
Updated 16 April 2026
Frequently Asked
Questions
Is teeth discolouration a sign of a dental problem?
Not always. Most colour changes are cosmetic and result from diet, ageing, or lifestyle habits. However, sudden darkening of a single tooth can indicate nerve damage from past trauma, and grey or brown patches may suggest enamel defects formed during development. If the change is isolated to one tooth, appeared suddenly, or is accompanied by sensitivity, a clinical assessment is recommended to rule out an underlying issue.
Can teeth whitening remove all types of staining?
No. Professional whitening is effective on extrinsic (surface) staining and age-related yellowing of natural enamel. It does not change the colour of existing crowns, fillings, or veneers, and has limited effect on intrinsic discolouration caused by tetracycline antibiotics, fluorosis, or structural enamel defects. An in-person evaluation determines whether whitening alone will achieve the result you are after, or whether a restorative option like veneers would be more predictable.
How long does professional teeth whitening last?
Results from professional teeth whitening on the Gold Coast typically last one to three years. Longevity depends on dietary habits, oral hygiene, and whether take-home top-up kits are used. Coffee, tea, red wine, and dark sauces accelerate re-staining. Periodic touch-ups can maintain brightness between appointments.
Can discolouration come back after veneers?
Porcelain and zirconia veneers are highly stain-resistant. However, the natural tooth at the margins can still pick up surface discolouration over time. Composite veneers are more prone to gradual staining than ceramics. Maintaining good oral hygiene, limiting highly pigmented foods, and attending regular check-ups help preserve the result for as long as possible.
How much does teeth whitening cost on the Gold Coast?
The cost of professional teeth whitening varies depending on whether you choose in-chair treatment, a take-home kit, or a combination of both. At ArtSmiles we discuss pricing during your consultation so there are no surprises. We also offer flexible payment plans to make cosmetic treatment accessible.
What is the difference between teeth whitening and veneers for colour correction?
Professional teeth whitening lightens natural enamel using a peroxide-based agent. It is non-invasive and works well for surface staining and mild to moderate yellowing. Veneers — composite or porcelain — are thin coverings bonded to the tooth surface. They are used when whitening cannot reach the desired shade, when colour is uneven or patchy, or when restorations need to be colour-matched. Your dentist at ArtSmiles Southport will recommend the approach that suits your type of discolouration.
My existing crowns or fillings are a different colour — what can be done?
Existing restorations cannot be whitened. If a crown, filling, or veneer no longer matches your surrounding teeth — whether because your natural teeth have lightened or the restoration has aged — the restoration needs to be replaced and colour-matched to your current shade. We assess all restorations as part of any colour consultation to plan a consistent result across your full smile.
Is teeth whitening safe for sensitive teeth?
Professional whitening can be adapted for sensitive teeth by adjusting the peroxide concentration and application time. Desensitising agents are applied before and after treatment to minimise discomfort. Over-the-counter products offer less control over concentration, which is why a supervised approach tends to produce more comfortable and predictable results.
Will veneers look natural?
When designed and placed correctly, veneers are indistinguishable from natural teeth. Porcelain veneers closely replicate the translucency and light reflection of natural enamel. At ArtSmiles, shade selection, translucency, and proportion are planned with reference to your facial features and natural smile line so the result looks balanced and intentional.
Still have questions?
Our team is here to help — book a no-obligation consultation.
This page has been clinically reviewed by Dr. Cristian Dunker, BDSc, MBA, Principal Dentist at ArtSmiles.
