Dental Fillings
& Composite Restorations
Fix it early, keep it simple.
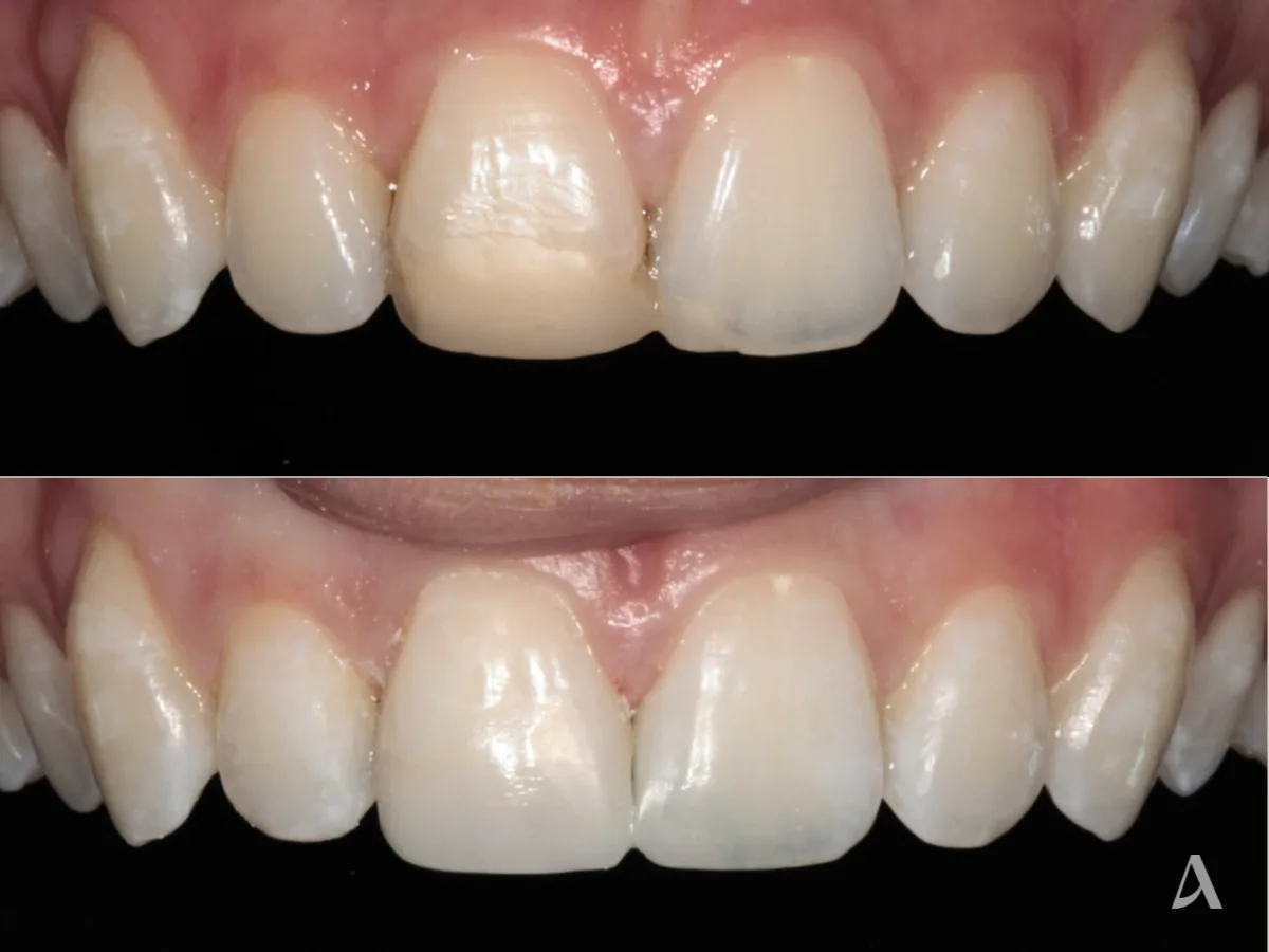
A small cavity today can become a big problem tomorrow. White composite fillings at ArtSmiles repair the damage quickly and gently, blending naturally with your tooth so no one can tell the difference. The earlier we catch it, the simpler and more affordable the fix.
What Is
a Dental Filling?
You May Need a Filling If You Notice
- Sensitivity to sweets, cold, or pressure
- Visible dark or soft areas on a tooth
- Dental decay (cavities)
- Cracked or chipped teeth
- Food trapping between teeth
- Cracked or leaking fillings
- Acid erosion or enamel wear
- Worn enamel from grinding (bruxism)
- Pain when chewing

When Do You
Need a Filling?
A filling is needed when a tooth has been damaged by decay, fracture, or wear — and enough healthy structure remains to support a direct restoration. If the damage is caught early, a small composite filling can stop the problem before it spreads deeper.
You may not always feel pain. Many cavities are detected during routine examinations through X-rays and clinical inspection before symptoms appear. That is why regular check-ups matter — early fillings are smaller, faster, and more affordable than the alternatives.
When damage is too extensive for a filling, your dentist may recommend an inlay, onlay, or crown instead. The right option depends on how much healthy tooth remains and the forces the tooth needs to withstand.
Book a Dental Filling Consultation
Share your details and our team will be in touch within 1 business day to confirm your appointment.
Prefer to call? Reach us on (07) 5588 3677
What Happens During
a Filling Appointment?
Getting a filling is one of the most common dental treatments, and we make it as comfortable as possible. Most appointments take 30 to 60 minutes.
Diagnosis
Clinical examination and imaging identify decay or areas of weakness.
- —Clinical and radiographic assessment
- —Identification of cavity extent and risk factors
- —Discussion of treatment options
01 · ArtSmilesReady to take the next step?
Book a consultation to discuss your personalised plan.
White Fillings vs
Silver Fillings (Amalgam)
White fillings are made from composite resin — a tooth-coloured material that bonds directly to the tooth. Amalgam (silver) fillings use a mixture of metals including mercury, silver, tin, and copper. They do not bond to the tooth and require more healthy tissue to be removed to create mechanical retention. While durable, amalgam is no longer preferred for most restorations due to aesthetic and conservative limitations.
Because white composite bonds to enamel and dentine, it supports the remaining tooth rather than simply filling space.
| ✦Composite (White Filling) | Amalgam (Silver Filling) | |
|---|---|---|
| Appearance | Tooth-coloured | Metallic |
| Bonding | Bonds to tooth | Mechanical retention |
| Tooth Removal | More conservative | More tissue removed |
| Mercury Content | Mercury-free | Contains mercury |
| Aesthetic Result | Natural | Visible |
Filling, Onlay
or Crown?
Replacing Old
Silver Fillings
Old amalgam fillings may be replaced if:
- They are cracked
- Margins are leaking
- Recurrent decay is present
- Fracture risk is increasing
- There is no scientific indication that amalgam fillings cause poisoning in the body
Replacement is based on clinical assessment, not age alone.
Read: Can Dental Fillings Cause Cancer? →Visible wear, marginal breakdown, and early signs of recurrent decay around an old amalgam filling — a common indication for replacement with a bonded composite restoration.
After Your Filling:
What to Expect
- Avoid chewing until numbness resolves
- Mild sensitivity to temperature may occur
Sensitivity typically settles within a few days. If it persists, review is recommended.
- Sensitivity usually improves
- Normal function resumes
- Night guard recommended if grinding is present
Longevity depends on:
- Size and location of the filling
- Bite forces and grinding habits
- Oral hygiene and diet
Small white fillings may last many years. Larger restorations require closer monitoring.
- Regular examinations and professional cleaning
- Risk-based recall intervals
- Night guards if grinding
- Dietary management and proper oral hygiene
A structured maintenance plan reduces long-term restorative needs.
At ArtSmiles, dental restoration is diagnosis-driven. The objective is not simply to patch teeth, but to stabilise them properly.
Think You Might Need a Filling?
The sooner you get it checked, the easier the fix. Book a consultation and we’ll take care of it quickly and comfortably.
Ready to get started?
Prefer to call? (07) 5588 3677
Cost of
Dental Fillings on the Gold Coast
White fillings at ArtSmiles range from $250 for a small filling to $500 for a larger restoration. Catching things early usually means a simpler, more affordable fix. We’ll give you a clear price after your assessment.
- —Size of the filling
- —Number of surfaces involved
- —Tooth location (front vs back)
- —Need for imaging
- —Complexity of bite adjustment
Final pricing confirmed after clinical assessment and treatment planning.
Book a ConsultationPreventive care membership with check-ups, cleans, and savings on treatments. Priority scheduling included.
Flexible Payment Options
We offer flexible payment options. Learn more about dental finance or our Blessing Program for eligible patients.
Understand Your
Oral Health Risk
Our risk assessment takes less than two minutes and helps us identify potential vulnerabilities before they compromise your treatment. The results allow our team to build a personalised prevention plan alongside your care.
- —Decay risk, dietary habits, saliva quality, and bacterial balance
- —Gum disease risk, inflammation patterns, bone support, and hygiene effectiveness
- —Grinding & clenching risk, bite forces, wear signs, and jaw tension
Start Your Assessment
Takes less than 2 minutes. No obligation.
Risks and
Clinical Considerations
Potential Risks Include
Post-Operative Sensitivity
Temporary sensitivity to cold or pressure after filling placement is common, particularly with deeper cavities. This typically resolves within a few days to weeks.
Wear Over Time
White fillings gradually wear under chewing forces, especially on back teeth. Regular monitoring ensures timely replacement before the tooth is compromised.
Recurrent Decay
Decay can develop at the margins of an existing filling if oral hygiene is inadequate or the seal breaks down over time. Routine examination detects this early.
Tooth Fracture
Large fillings weaken remaining enamel and dentine. If too much natural tooth is compromised, a crown or onlay may be required to prevent fracture.
Pulp Complications
Deep cavities close to the nerve may cause pulp inflammation, occasionally requiring root canal treatment even after a filling has been placed.
Consequences of Delay
Untreated cavities can progress toward the nerve, cause infection or abscess, lead to fracture, and increase overall treatment complexity and cost.
Related Articles

How to Treat Tooth Decay: Prevention, Treatment, and When to See a Dentist
Updated 16 April 2026

"It Doesn't Hurt"… and That's Why Dental Problems Are Often Missed
Updated 16 April 2026

How Delaying Dental Treatment Affects Your Long-Term Costs
Updated 16 April 2026

Food Trapping and Drifting Teeth: Why They Happen and What They Mean for Your Smile
Updated 16 April 2026
Frequently Asked
Questions
How much does a dental filling cost on the Gold Coast?
At ArtSmiles, white composite fillings range from $250 for a small posterior filling to $500 for a larger cosmetic restoration. The final cost depends on the number of surfaces involved, tooth location, and complexity. A personalised quote is provided after clinical assessment. We also offer flexible payment plans.
Can composite fillings stain over time?
Composite material can absorb surface stains from coffee, tea, wine, or smoking. Regular polishing and good hygiene help maintain appearance. In some cases, minor staining can be refreshed conservatively without replacing the entire filling.
Is removing amalgam fillings safe?
When clinically indicated, amalgam replacement is performed using standard protective protocols including rubber dam isolation. Removal is recommended when the filling is compromised or decay is present — not for cosmetic reasons alone unless requested by the patient.
Do fillings prevent root canal treatment?
When placed early, fillings remove decay before it reaches the nerve. Delayed treatment increases the likelihood of pulp infection requiring root canal therapy. This is why routine examinations are important — catching cavities early keeps treatment simple.
Can multiple fillings be done in one appointment?
Yes, in many cases several fillings can be completed in a single visit, particularly if they are in the same area of the mouth. For larger treatment plans involving multiple quadrants, your dentist may recommend staging appointments for comfort.
Are white fillings strong enough for back teeth?
Yes. Modern composite materials are suitable for molars when placed using proper bonding and layering techniques. In cases of extensive damage, indirect restorations such as onlays or crowns may be more appropriate for long-term durability.
How do I know if my filling needs replacing?
Signs of a failing filling may include sensitivity to cold or sweets, darkening at the margin, food trapping, rough edges, or pain when biting. Diagnosis requires clinical examination and sometimes imaging. Regular check-ups catch these issues early.
Can a filling fix a cracked tooth?
Small cracks may be stabilised with bonded composite. Deeper cracks affecting the integrity of the tooth may require an onlay or crown. Early diagnosis improves the chance of conservative repair rather than extraction.
Does health insurance cover white fillings?
Most Australian private health insurance policies with extras cover include a portion of the cost for composite fillings. The exact rebate depends on your fund and level of cover. We process claims on-the-spot with HICAPS so you only pay the gap.
Can worn teeth be rebuilt with composite?
Yes. Minor to moderate wear from grinding or erosion can often be rebuilt using bonded composite. This is sometimes called composite bonding. Severe wear may require indirect restorations such as onlays or crowns for lasting results.
Still have questions?
Our team is here to help — book a no-obligation consultation.
Our Other General Dentistry
Services
Teeth Whitening
Professional whitening using clinically approved agents for safe, controlled, and predictable lightening results.
Learn moreRoot Canal Treatment
Endodontic therapy to remove infected pulp, disinfect the canal system, and preserve your natural tooth.
Learn moreEmergency Dentist
Urgent dental assessment for severe pain, swelling, trauma, or broken teeth with same-day appointments.
Learn moreBruxism Treatment
Diagnosis and management of teeth grinding and jaw clenching, including occlusal splints and bite therapy.
Learn moreThis page has been clinically reviewed by Dr. Cristian Dunker, BDSc, MBA, Principal Dentist at ArtSmiles.



