
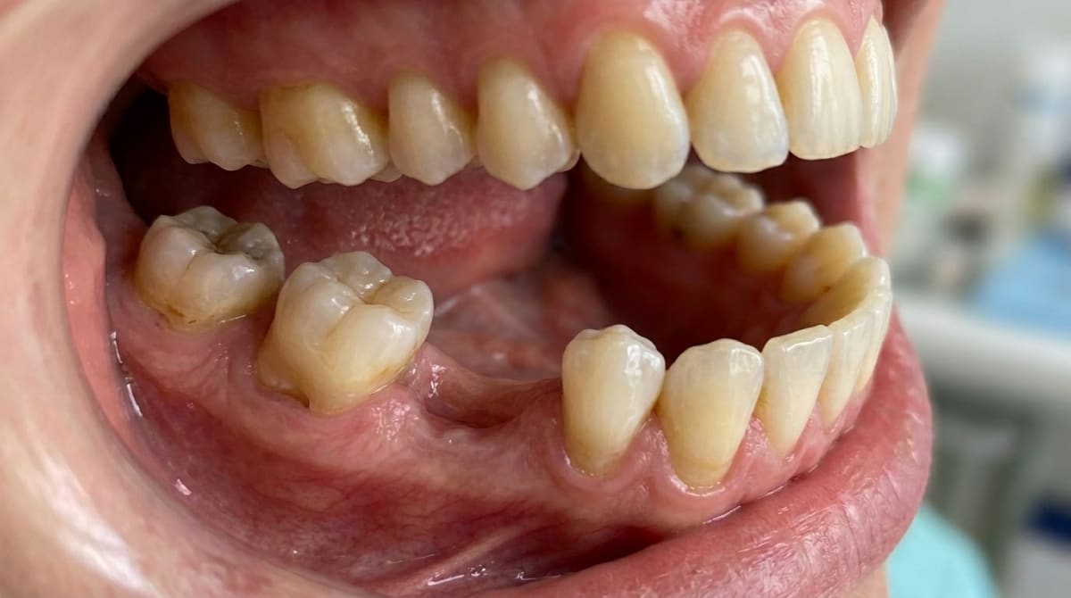
If food keeps getting stuck in the same spot between your teeth, or you've noticed a tooth that seems slightly out of position, these changes are rarely random. They usually point to something happening below the surface — most often gum disease with bone loss.
Small gaps, new food traps, and teeth that gradually shift are among the earliest visible signs of structural change in the mouth. Understanding why they happen can help you act before the damage becomes harder to treat.
Why Food Starts Getting Stuck
Healthy teeth sit in firm contact with each other. When food consistently lodges in the same place, it means something has changed in the way your teeth fit together.
The most common reasons include:
Gum disease and bone loss — As the bone supporting your teeth shrinks, the contact points between teeth weaken and small spaces open up. Periodontal bone loss is the leading cause of food trapping in adults (Tonetti et al., 2018).
Teeth drifting out of position — Chronic inflammation weakens the periodontal ligament, which holds each tooth in place. Once weakened, teeth can shift under normal chewing forces (Brunsvold, 2005).
Worn or damaged fillings — Old restorations gradually lose their original shape, creating gaps where food gets trapped. High caries-risk patients are especially prone to restoration failure (Opdam et al., 2014).
Decay between teeth — Cavities that form between teeth (interproximal decay) break down the contact point, creating a direct path for food.
Grinding and clenching — Excess pressure from bruxism can push teeth outward over time, opening small spaces that weren't there before.
If food always gets stuck in the same spot, it's a structural issue — not just bad luck with a piece of steak.
Why Adult Teeth Drift
Many people assume teeth are fixed permanently in the jaw. In reality, each tooth is suspended in bone by a thin ligament called the periodontal ligament (PDL). This means teeth can — and do — move throughout life.
Pathologic tooth migration (PTM) is a well-documented result of periodontal disease. It occurs when the structures holding the tooth in place break down (Brunsvold, 2005). Drifting can happen when:
Bone support is reduced by gum disease
The periodontal ligament is weakened by chronic inflammation
Grinding or clenching overloads the bite
A missing tooth leaves space for neighbouring teeth to move into
Bite forces change over time due to tooth wear or loss
Once support decreases, teeth become more mobile and more likely to shift. Drifting is one of the strongest visible warning signs of active periodontal disease (Heitz-Mayfield, 2005).
What Happens Beneath the Gums
The visible signs — food trapping, gaps, shifting — are the end result of changes happening below the gumline. Bacteria in plaque and tartar trigger a chronic inflammatory response in the gum tissue. Over time, this inflammation leads to:
Breakdown of the connective tissue that attaches to the tooth root
Resorption (loss) of the surrounding bone
Widening of the periodontal ligament space
Loss of tooth stability
Teeth shifting under everyday chewing forces
Drifting typically appears as front teeth moving forward or outward, creating small triangular gaps between them. By the time these gaps are visible, significant bone loss has often already occurred (Papapanou, 1996).
Problems Caused by Food Trapping and Drifting
Left untreated, food trapping and drifting teeth lead to a cycle of worsening damage:
Cavities — Trapped food debris feeds bacteria that produce acid, leading to decay in hard-to-clean areas
Worsening gum inflammation — Food packed against the gums causes irritation and accelerates periodontal breakdown
Persistent bad breath — Decomposing food particles and bacterial growth produce ongoing odour
Increasing tooth mobility — As bone loss progresses, teeth become looser and harder to save
Visible smile changes — Gaps widen, teeth fan outward, and the bite shifts
Delaying care allows these problems to compound. What starts as a minor food trap can progress to a situation requiring more involved treatment.
How the Cause Is Found
At ArtSmiles, treatment starts with identifying exactly why the gap formed or why the tooth moved. A thorough assessment may include:
Full periodontal charting to measure pocket depths and attachment loss
Digital X-rays to assess bone levels around each tooth
Contact point evaluation to check where food is getting through
Bite analysis to identify uneven forces
Review of existing fillings and restorations
Screening for active decay
Gum recession assessment
Evaluation for signs of grinding or clenching
The right treatment depends entirely on the underlying cause. A food trap caused by a worn filling requires a different approach than one caused by bone loss from periodontal disease.
How Food Trapping and Drifting Are Treated
Periodontal therapy — If bone loss is present, deep cleaning (scaling and root planing) removes bacteria and tartar below the gumline. This helps stabilise the tissues and can slow or stop further tooth movement (Jepsen et al., 2018).
Restoring contact points — If a worn or broken filling is creating the gap, repairing or replacing the restoration with a new dental filling can seal the space and stop food from getting trapped.
Orthodontic alignment — Once gum disease is stabilised, teeth that have drifted can sometimes be repositioned using orthodontic treatment such as clear aligners.
Night guard for grinding — If bruxism is contributing to tooth movement, a custom night guard protects the teeth from the forces that cause flaring and gaps.
Replacing missing teeth — Dental implants or bridges prevent neighbouring teeth from collapsing into empty spaces.
Managing gum recession — Depending on the case, options may include grafting, bonding, or orthodontic space closure through periodontal surgery.
When to Seek Care
Food trapping and drifting teeth are rarely minor issues. They usually signal gum disease, bone loss, or weakening tooth structure — problems that progress if left alone.
With early diagnosis, further damage can often be stopped and stability restored. Waiting allows the situation to become more involved and more costly to treat.
If you've noticed food getting stuck in new places or teeth that feel like they've shifted, book an appointment online or get in touch with the team at ArtSmiles Gold Coast. The sooner the cause is identified, the more options are available to protect your smile.