Dental Health Articles &
Oral Care Guides
Evidence-based answers to the dental questions patients actually ask. Every article written and medically reviewed by Dr Cristian Dunker and the ArtSmiles clinical team.
Top Articles

How Much Do Veneers Cost in Australia
Thinking about veneers? See real 2026 prices for every material, what shifts your final quote, and how Gold Coast pricing compares nationally.
Updated 25 April 2026

How Much Do Dental Implants Cost in Australia
How much do dental implants cost in Australia? Compare single implant, All-on-4 and overdenture prices at ArtSmiles Gold Coast, with payment options.
Updated 25 April 2026

A Dentist's Guide to Choosing Dental Health Insurance in Australia
A dentist's plain-English guide to dental health insurance in Australia. What cover actually pays, waiting periods, preferred providers, and whether extras are worth it.
Updated 19 April 2026

Is Oil Pulling Good for Oral Health?
Oil pulling is a popular natural remedy, but does it actually work? See what the research shows and whether it can replace brushing and flossing.
Updated 25 April 2026

What Happens When You Wait Too Long With a Cracked Tooth
Cracked teeth do not heal on their own. Learn how cracks progress from minor lines to full fractures and why early treatment can save the tooth.
Updated 25 April 2026

Does Fluoride Cause Cancer? What the Research Actually Says
Does fluoride in drinking water cause cancer? We look at what decades of research from major health organisations actually say about fluoride safety.
Updated 25 April 2026

How Long Does Recovery Take After Wisdom Teeth Are Removed? A Day-by-Day Guide
A practical day-by-day guide to wisdom tooth removal recovery, from the first 24 hours through the full fortnight, including warning signs, eating advice, and pain management.
Updated 22 April 2026

Noticing Your Teeth Moving? Here's Why It Happens as We Age
Teeth shift with age due to gum disease, bone loss, grinding, and missing teeth. Learn the common causes of tooth movement and how to treat it.
Updated 25 April 2026
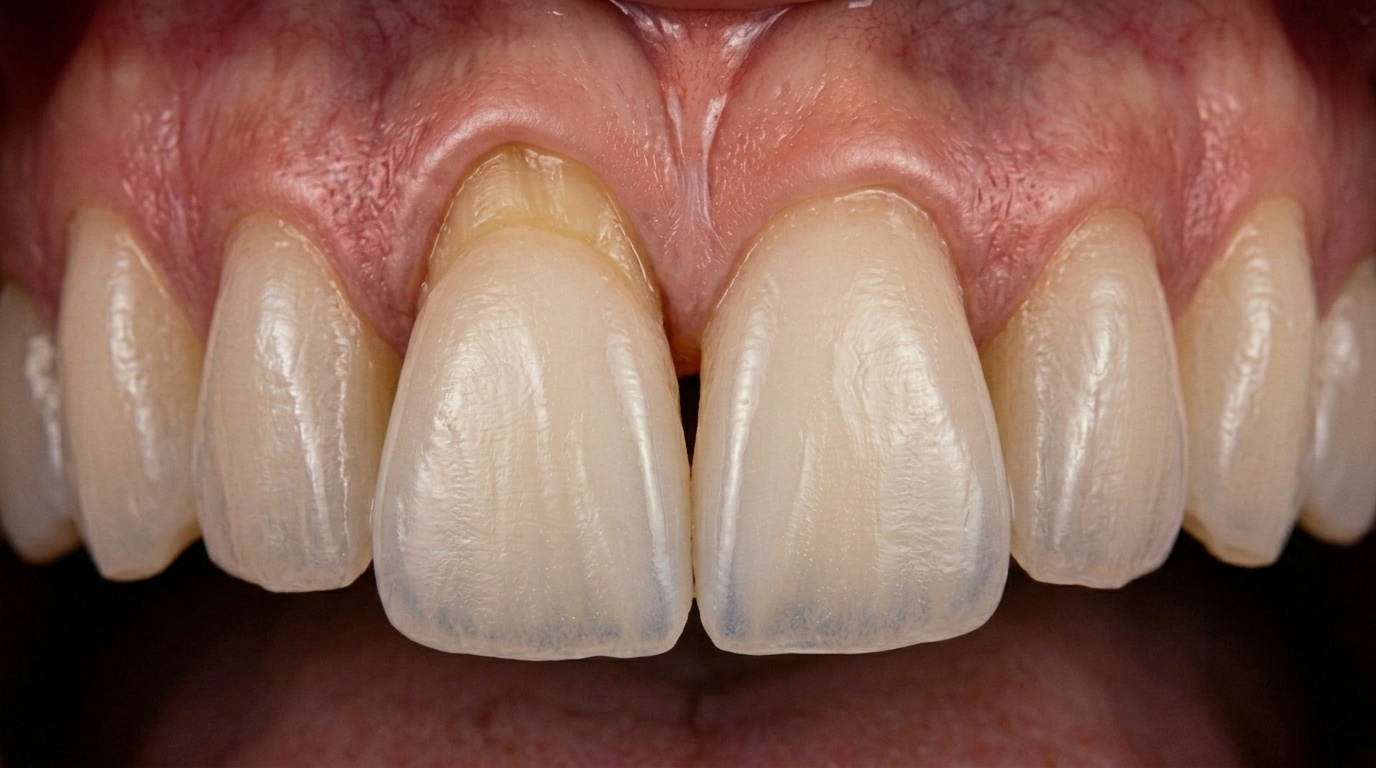
Veneers, Smile Design & Cosmetic Care
What veneers actually cost in Australia, how many teeth need them, and which material suits which smile. Plain answers on porcelain, composite and zirconia, written by a dentist, not a marketer.

How Much Do Veneers Cost in Australia
Thinking about veneers? See real 2026 prices for every material, what shifts your final quote, and how Gold Coast pricing compares nationally.
Updated 25 April 2026

Do I Have to Get Veneers for All My Teeth?
You don't need veneers on every tooth. Learn how many veneers you actually need, what affects the number, and how digital smile design helps plan the perfect result.
Updated 25 April 2026

Understanding Veneer Materials: A Comprehensive Guide
Not all veneers are made the same. This guide breaks down the four main veneer materials so you can tell which one fits your smile, budget and goals.
Updated 23 April 2026

Clinical Case: A Smile Reimagined: How Buccal Tori Removal and Zirconia Veneers Transformed One Woman's Confidence
A clinical case study from ArtSmiles Gold Coast showing how buccal tori removal and zirconia veneers can be combined in one coordinated treatment plan.
Updated 25 April 2026
Implants & All-on-4 Reconstruction
2026 prices for single implants, All-on-4 and All-on-X full-arch reconstruction. What affects the cost, how Australian patients fund treatment, and what real clinical outcomes look like.

How Much Do Dental Implants Cost in Australia
How much do dental implants cost in Australia? Compare single implant, All-on-4 and overdenture prices at ArtSmiles Gold Coast, with payment options.
Updated 25 April 2026

Clinical Case: All on 4 Revision with Zirconia Bridge: When a Smile Finally Feels Right
After years of living with an All on 4 result that never felt right, one patient found renewed confidence through a zirconia bridge revision at ArtSmiles.
Updated 24 April 2026

Clinical Case: All on 4 Smile Transformation with Zirconia Bridge
After years of struggling with failing dentures and lost confidence, one patient's All-on-4 smile transformation at ArtSmiles gave her a reason to smile again.
Updated 25 April 2026

The Blessing Program Explained and Why Access Matters for Dental Care
Cost is the number one reason Australians delay dental care. Learn how untreated problems escalate in complexity and expense, and how the Blessing Program helps eligible patients access advanced treatment at reduced rates.
Updated 25 April 2026
Dental Emergencies & Same-Day Care
Cracked tooth, bleeding gums, sudden pain or a loose tooth. What counts as a true emergency, what to do in the first hour, and when it can safely wait for a regular appointment.

What Happens When You Wait Too Long With a Cracked Tooth
Cracked teeth do not heal on their own. Learn how cracks progress from minor lines to full fractures and why early treatment can save the tooth.
Updated 25 April 2026

Loose Teeth: Why It Happens and When You Should Worry
Loose teeth in adults usually signal bone loss from gum disease. Learn why it happens, what causes it, and how periodontal care can help save your teeth.
Updated 19 April 2026

How Long Does Recovery Take After Wisdom Teeth Are Removed? A Day-by-Day Guide
A practical day-by-day guide to wisdom tooth removal recovery, from the first 24 hours through the full fortnight, including warning signs, eating advice, and pain management.
Updated 22 April 2026

How to Treat Bleeding Gums: Causes, Solutions, and When to See a Dentist
Bleeding gums are common but shouldn't be ignored. Learn what causes them, how to treat them at home, and when it's time to see a dentist.
Updated 17 May 2026
Periodontal Care & Gum Disease
Gum disease is the leading cause of adult tooth loss in Australia. What causes it, how the stepwise periodontal protocol works, and recovery timelines for deep cleaning and flap surgery.

When Gum Disease Stops Hurting: Why Silence Does Not Mean Safety
Gum disease often stops hurting as it gets worse. Learn why silence does not mean safety and what signs to watch for before bone loss becomes permanent.
Updated 17 May 2026

Gum Recession: Why It Happens and What You Can Do
Learn why gum recession happens, what causes it, and how it can be treated to protect your teeth and gums long-term.
Updated 22 April 2026

How to Treat Bleeding Gums: Causes, Solutions, and When to See a Dentist
Bleeding gums are common but shouldn't be ignored. Learn what causes them, how to treat them at home, and when it's time to see a dentist.
Updated 17 May 2026

Post-Operative Instructions for Periodontal Flap Surgery
Everything you need to know about recovery after periodontal flap surgery, from managing pain and swelling to diet, oral hygiene, and when to call your dentist.
Updated 25 April 2026
Teeth Grinding & Full Mouth Restoration
Nighttime grinding and clenching quietly reshape faces, wear teeth flat and trigger TMJ pain. Diagnosis, mouthguards, botox, and when a full mouth rehabilitation is the right answer.

Grinding and Clenching: What It Does to Your Teeth While You Sleep
Learn how teeth grinding and clenching (bruxism) damage your teeth over time, the warning signs to watch for, and how to protect your smile.
Updated 25 April 2026

Clinical Case: How a Full Mouth Restoration Reversed Years of Grinding Damage
A full mouth restoration combining veneers, crowns, and bite correction gave a young woman relief from years of grinding damage and restored her facial harmony.
Updated 25 April 2026

Clinical Case: When a Smile Affects the Whole Face: Full Mouth Rehabilitation for Bruxism and Facial Collapse
How years of teeth grinding led to facial collapse, and how full mouth rehabilitation with veneers, zirconia crowns, and bridges restored both function and confidence.
Updated 25 April 2026

Noticing Your Teeth Moving? Here's Why It Happens as We Age
Teeth shift with age due to gum disease, bone loss, grinding, and missing teeth. Learn the common causes of tooth movement and how to treat it.
Updated 25 April 2026
Preventive Dentistry & Oral Health
Evidence-based answers to the questions patients actually ask. Is fluoride safe, does oil pulling work, what really causes tooth decay, and how life stages like menopause affect oral health.

Does Fluoride Cause Cancer? What the Research Actually Says
Does fluoride in drinking water cause cancer? We look at what decades of research from major health organisations actually say about fluoride safety.
Updated 25 April 2026

Can Dental Fillings Cause Cancer?
Do dental fillings cause cancer? Decades of research from major health authorities show no reliable link between amalgam or composite fillings and cancer.
Updated 19 April 2026

Is Oil Pulling Good for Oral Health?
Oil pulling is a popular natural remedy, but does it actually work? See what the research shows and whether it can replace brushing and flossing.
Updated 25 April 2026

Menopause and Your Mouth: How Perimenopause, Menopause and Postmenopause Affect Your Oral Health
Menopause affects more than hot flushes. Learn how it impacts your teeth, gums and oral health, plus science backed tips to protect your smile.
Updated 25 April 2026
Post-Operative Care Instructions
Recovery timelines, pain relief, eating, cleaning and follow-up for every procedure we perform. Treatment-specific instructions written by Dr Cristian Dunker and the ArtSmiles clinical team.
Post-Op Instructions for Surgical Tooth Extraction
Essential post-operative care instructions after surgical tooth extraction to promote healing and prevent complications.
Read →Post-Op Instructions for Wisdom Tooth Removal
Post-operative care instructions after wisdom tooth extraction to support healing and reduce discomfort.
Read →Post-Op Instructions for Dental Implant Surgery
Post-operative care instructions after dental implant placement to support healing and successful integration.
Read →Post-Op Instructions for All-on-X Implant Surgery
Essential aftercare instructions following All-on-X full-arch implant surgery for optimal healing.
Read →Post-Op Instructions for All-on-X Temporary Bridge
Essential care instructions for your All-on-X temporary bridge during the implant healing period.
Read →Post-Op Instructions After Final All-on-X Bridge
Care instructions after placement of your permanent All-on-X bridge for long-term success.
Read →Post-Op Instructions for Implant Crown or Bridge
Post-operative care instructions after placement of your implant-supported crown or bridge.
Read →Post-Op Instructions for Veneer Crown or Bridge Prep
Post-operative care instructions after veneer crown or bridge preparation to protect your temporary restorations.
Read →Post-Op Instructions for Veneers Crowns and Bridges
Post-operative care instructions after placement of veneers crowns and bridges for long-lasting results.
Read →Post-Operative Instructions for Periodontal Flap Surgery
Everything you need to know about recovery after periodontal flap surgery, from managing pain and swelling to diet, oral hygiene, and when to call your dentist.
Read →Post-Op Instructions for Deep Cleaning
Post-operative care instructions after deep cleaning to support gum healing and prevent infection.
Read →Post-Operative Instructions for Root Canal Treatment
Post-operative care instructions after root canal treatment to protect your tooth and support healing.
Read →