
Post-Operative Instructions for All-on-X Temporary Bridge
Post-Operative Instructions for All-on-X Temporary Bridge Protect Your Implants and Healing Smile During This Critical Phase You’ve completed your All-on-X surgery and received your temporary
Veneers before and after photos from ArtSmiles Gold Coast
Five-star customer service
Excellence in technical expertise, empathy and communication
Finance Plans
Flexible Finance Options to spread the cost of your treatment over months, with no interest or fees
World-Class Dentistry
Art and Science come together to achieve high-quality, long-lasting results
State-Of-The-Art Technology
The latest technology in Dentistry and the most up-to-date techniques
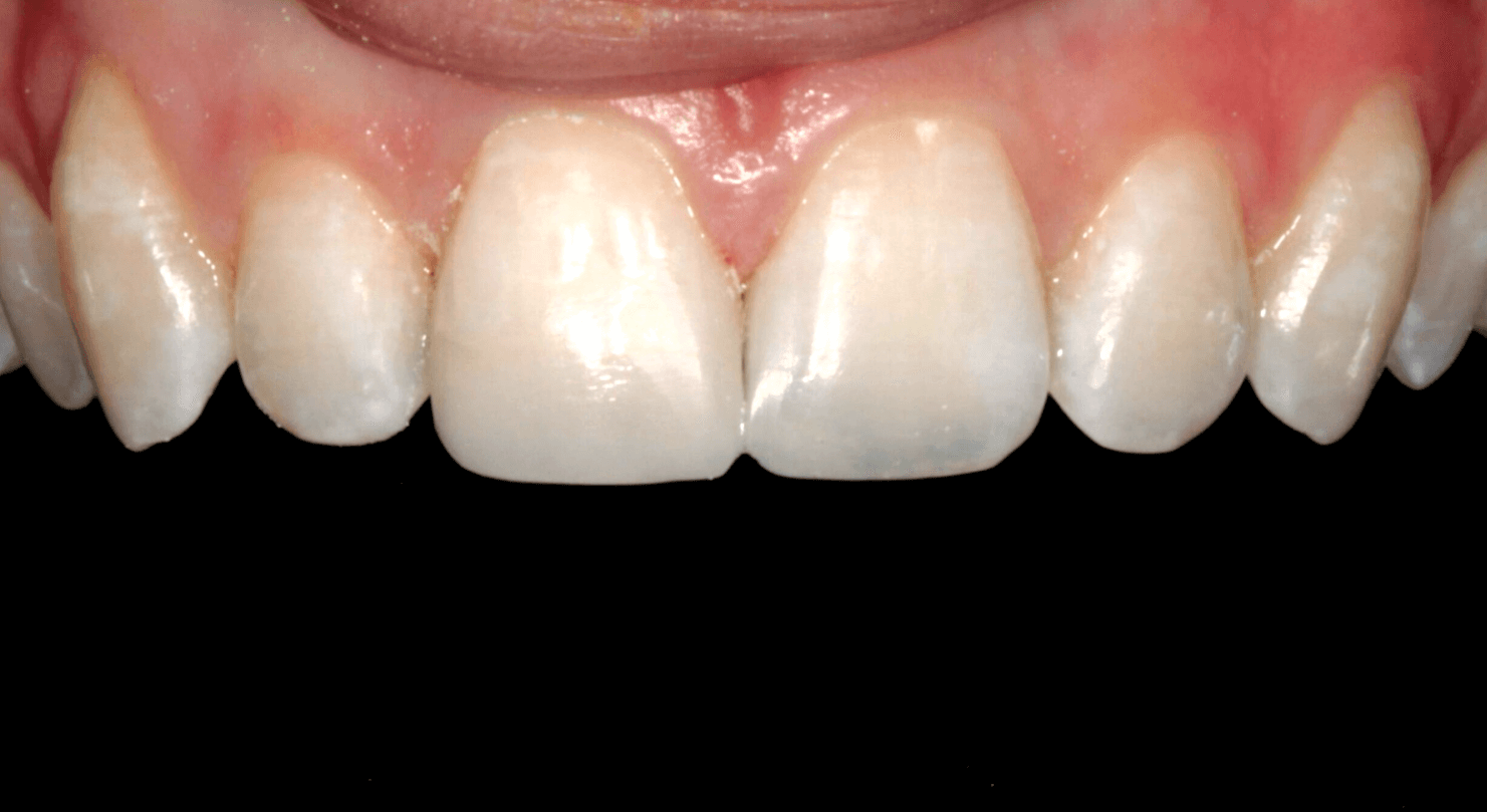
Dental Veneers are growing in popularity and patients visit our clinic on the Gold Coast from all over Australia to get the very best in veneers treatment. When you look at our ArtSmiles veneers before and after photos it is easy to see how this treatment can help our patients to regain confidence in their smiles and forget about any issues with tooth damage or teeth staining.
Have a look at our veneers before and after photos below to see what substantial transformation veneers can make:
Porcelain Veneers Before and After: Age Reversing Smile Makeover with Natural age appropriate Porcelain Crowns and Veneers
Porcelain Veneers Before and After: misaligned teeth
Porcelain Veneers Before and After: Closing Spaces and improving shade with Natural Porcelain Veneers
Full Mouth Rehab to correct bite and Smile
Dental Veneers are growing in popularity and patients visit our clinic on the Gold Coast from all over Australia to get the very best in veneers treatment. When you look at our ArtSmiles veneers before and after photos it is easy to see how this treatment can help our patients to regain confidence in their smiles and forget about any issues with tooth damage or teeth staining.
Have a look at our veneers before and after photos below to see what substantial transformation veneers can make:
Porcelain Veneers Before and After: Smile Enhancement with new porcelain veneers and crown
Dental Veneers are growing in popularity and patients visit our clinic on the Gold Coast from all over Australia to get the very best in veneers treatment. When you look at our ArtSmiles veneers before and after photos it is easy to see how this treatment can help our patients to regain confidence in their smiles and forget about any issues with tooth damage or teeth staining.
Have a look at our veneers before and after photos below to see what substantial transformation veneers can make:
Dental Veneers are growing in popularity and patients visit our clinic on the Gold Coast from all over Australia to get the very best in veneers treatment. When you look at our ArtSmiles veneers before and after photos it is easy to see how this treatment can help our patients to regain confidence in their smiles and forget about any issues with tooth damage or teeth staining.
Have a look at our veneers before and after photos below to see what substantial transformation veneers can make:
Porcelain Veneers Before and After: Improving the proportions, closing gaps and transforming the Smile with Porcelain Veneers
Porcelain Veneers Before and After: Porcelain Veneers to improve colour and alignment
Porcelain Veneers Before and After: Smile Makeover with gummy smile treatment and Porcelain Veneers
Porcelain Veneers Before and After: Smile rehabilitation with porcelain bridges, crowns and veneers
Porcelain Veneers Before and After: Full Mouth Rehab to correct bite and Smile
Porcelain Veneers Before and After: Stained and uneven teeth
Porcelain Veneers Before and After: full set of porcelain veneers to substitute old veneers
Porcelain Veneers Before and After: Porcelain Veneers to correct old/failing dental work
Porcelain Veneers Before and After: Full Mouth Rehab to correct bite and Smile
Porcelain Veneers Before and After: Porcelain Veneers to correct discoloured and chipped teeth
Porcelain Veneers Before and After: Porcelain Veneers to correct wear and discolouration
Porcelain Veneers Before and After: Porcelain Veneers to correct wear and discolouration
Porcelain Veneers Before and After: Porcelain Veneers to correct wear and discolouration
Porcelain Veneers Before and After: Porcelain Veneers to correct wear and discolouration
Porcelain Veneers Before and After: Porcelain Veneers to correct wear and discolouration
Porcelain Veneers Before and After: Porcelain Veneers to correct wear and discolouration

Post-Operative Instructions for All-on-X Temporary Bridge Protect Your Implants and Healing Smile During This Critical Phase You’ve completed your All-on-X surgery and received your temporary

Post-Operative Instructions for Veneers, Crown or Bridge Preparation Caring for Your Temporary Crown or Bridge After your tooth is prepared for a crown or bridge,

Understanding Veneer Materials: A Comprehensive Guide Introduction Dental veneers have revolutionized cosmetic dentistry, offering patients the opportunity to achieve aesthetically pleasing smiles.
Want to find out about how ArtSmiles can help you achieve your perfect smile? Come for a free consultation to find out.
or call us on (07) 5588-3677