
Post-Operative Instructions for All-on-X Temporary Bridge
Post-Operative Instructions for All-on-X Temporary Bridge Protect Your Implants and Healing Smile During This Critical Phase You’ve completed your All-on-X surgery and received your temporary
Enhance and Improve the sparkle of your smile
with high-quality dental veneers.
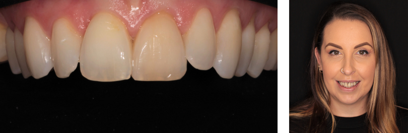
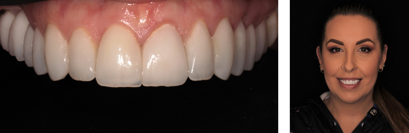
Dental Veneers are a popular choice that can revitalize and change your smile very quickly. If your teeth are chipped or stained, include an unsightly gap, or have been ground down, and you are ready for a change, you should consider a Smile Makeover.
The biting strength and chewing of your teeth is vital to your oral and overall health. However, the aesthetics of your teeth also hold significant importance. Beautifully sparkling white teeth boost your confidence and make you feel good about yourself.
At ArtSmiles Gold Coast, we understand that it's essential for your teeth to function properly and look aesthetic. That is why we offer Cosmetic Dental Veneers on the Gold Coast. These veneers are designed to give you natural-looking white teeth and cover any teeth imperfections. This improves your smile as well as your overall facial appearance.
Lorem ipsum dolor sit amet, consectetur adipiscing elit, sed do eiusmod tempor incididunt ut labore et dolore magna aliqua.
Dr. Apa fits a temporary smile to the patient. He then minimally shapes and fits their teeth for the temporary veneers they will wear for just under a week. This unique step allows patients to test drive their new, improved smile.
After wearing the temporary smile, the patient returns to provide feedback on the look and fit of their veneers. Using this feedback, a master ceramist makes a new mold before creating the final veneers.
Dr. Apa fits the patient with the permanent veneers. At this time, he removes the temporary veneers and the patient receives their new, permanent smile.
During this final re-contouring appointment, Dr. Apa applies the finishing touches to the patient’s new smile. It occurs one to two days after the veneers are fitted.
Veneers, if treated properly, should look and feel great for up to 15 years after their placement. Most patients forget they have them after a month or so because facial muscles adapt to the new teeth and make them look more natural than the day they were put in.
Want to find out about how ArtSmiles can help you achieve your perfect smile? Come for a free consultation to find out.
or call us on (07) 5588-3677
Veneers (also known as laminate) are a thin, translucent layer of a carefully chosen material that is customised to cover the imperfections of your teeth. The material is shaped to bond to the front of your teeth, and as a result, enhances the shape, size and colour of teeth, to close gaps and improve alignment.
At ArtSmiles, they are designed to do this and much more. Dr Cristian Dunker has taken the art of Dental Veneers to a much higher level. Our custom Dental Veneers will match or replace your natural teeth, and Dr Cristian will make sure that the Dental Veneers you get will give you the exact smile transformation that you’ve always wanted.
There are as many differences as similarities between Resin Composite Veneers and Porcelain Veneers. Determining which type of veneer is right for you comes down to multiple different factors.
Both types basically serve the same purpose and involve placing tooth-coloured material over the front surface of the tooth to improve its shape.
Both are used to deal with dull, discoloured, chipped, cracked, short or uneven teeth. If any one or more of these are affecting you, your smile or your confidence, veneers are obviously the best and most common solution.
The differences are due to the quality, procedure, durability and cost of the two different materials.
Porcelain veneers are thin shells of porcelain adhered to the outer-surface of the tooth. Composite veneers are engineered resin affixed to the outer-surface. Both are made to match your teeth (or whiten) and improve your overall smile.
Porcelain veneers are much stronger and more durable than composite resin veneers. They’re extremely thin (0.6mm), so they feel like real teeth in your month. The smooth, impervious ceramic used in porcelain veneers also resists staining from cigarettes or coffee.
With dental porcelain veneers, your teeth reconstruction is so close to natural in terms of their shape, colour, and texture, that only your dentist can tell the difference between them and your natural teeth.
The quicker of the two dental veneers to be applied to the teeth are composite veneers. This is because they can be done chairside in the same visit. Dr. Cristian Dunker will match the resin to the colour, size, and shape of your desired new smile. The resin is added to your teeth, cured and then polished. You can walk out the same day with a new smile!
Porcelain veneers typically take at least two visits. Dr. Cristian will remove a very thin layer of your teeth, take an impression of the teeth receiving the veneers and send the mould out to a lab to be hand crafted. While you are waiting on your veneers to be fabricated you can wear temporary veneers. A second visit will fit them to check for colour match and shape, and if you’re happy, they will be bonded to complete the process.
With proper care, porcelain veneers should last 10-15 years. Composite veneers, on the other hand, typically last 5-8 years. While porcelain is fragile, once bonded to a healthy tooth it is extremely durable. Composite is durable but not as strong as porcelain and is more prone to chipping. However, if damage were to happen to a porcelain veneer, it would have to be replaced, it cannot be repaired. If you chip a composite veneer, you can repair it.
Porcelain veneers are more expensive than composite initially. The placement of porcelain takes more time, expertise and resources. The dental lab’s dentists work with are chosen very carefully and cost money to fabricate restorations. If you break down costs by how often you would have to replace/repair composite verse porcelain though, the cost could come out even over time.
At the end of the day, the only way to determine whether a composite or porcelain veneer solution is right for you is to come for a free consultation and discuss about your aesthetic goals and to weigh your personal considerations. In other words, what is most important to you? If you’re looking for the most cost-effective solution, then a composite veneers treatment plan will probably be a good fit. However, if you have a severe aesthetic concern, or you’re looking for the most natural and durable treatment solution, then porcelain veneers will give you a fantastic result.
Regardless of which material you opt for in the end, you can rest assured that both offer fantastic smile enhancement.
Most restorative cosmetic dentist procedures require multiple visits to the dentist to complete treatment. At ArtSmiles Cosmetic Dentistry, Dr. Cristian Dunker combines his years of experience, advanced techniques, and cutting edge CEREC technology to provide patients with dramatic results in a single office visit. We use state-of-the-art 3D imaging and CAD-CAM technology to make it possible for us to design, create, and place your dental veneers in a single visit, combining convenience with quality for amazing results.
Your initial consultation with Dr. Cristian Dunker is free. In this consultation, Dr. Dunker will listen to your concerns, discuss your situation and help you select the best possible way in which you can get the changes you want. Your treatment plan will be carefully formulated to make sure that your smile transformation is exactly what you want it to be.
Come in and see Dr. Dunker for a complimentary consultation and find out exactly how you can enhance and improve the sparkle of your smile to natural health and beauty, using top notch Dental Veneers in Gold Coast.
1 Year
Warranty
Breaking, chipping, stain or wear - repair or replace at no extra charge
Debonding of veneer - recement or replace at no extra charge
Mild sensitivity - 1 session of lasertherapy
Repair of higher veneer - 1 session occlusal adjustment
2 Years
Warranty
2 Years
Warranty
Breaking, chipping or wear - repair or replace at no extra charge
Debonding of veneer - recement or replace at no extra charge
Mild sensitivity - 1 session of lasertherapy
Repair of higher veneer - 1 session occlusal adjustment
5 Years
Warranty
1 Year
Warranty
Breaking, chipping, stain or wear - repair or replace at no extra charge
Debonding of veneer - recement or replace at no extra charge
Mild sensitivity - 1 session of lasertherapy
Repair of higher veneer - 1 session occlusal adjustment
2 Years
Warranty
2 Year
Warranty
Breaking, chipping, stain or wear - repair or replace at no extra charge
Debonding of veneer - recement or replace at no extra charge
Mild sensitivity - 1 session of lasertherapy
Repair of higher veneer - 1 session occlusal adjustment
5 Years
Warranty
As each and every patient has unique needs, a final quote can only be obtained after a full consultation and assessment of your suitability for dental veneers. In the meantime, you can find some ballpark prices below, as well as the advantages of joining the ArtSmiles Club Membership Program:
| Procedure | ArtSmiles Club Discounted Fee | ArtSmiles Private Fee |
| Composite Veneers (per tooth) | $419 | $523 |
| Porcelain Veneers (per tooth) | $1,209 | $1,732 |
Dental veneers are very thin covers that are put on top of your natural teeth to change the shape, size and color of the teeth. The material is shaped to bond to the front of your teeth, and as a result, enhances the shape and colour of teeth, to close gaps and improve alignment. Veneers can also be used to lengthen worn or short teeth. The overall purpose for veneers is to improve the appearance of a person’s smile to make them appear younger, healthier and more attractive.
With the latest technology in dentistry, veneers can be made to look exactly like natural tooth enamel and are often used to create custom smiles.
The most common materials used for making veneers are composite and porcelain (also called ceramic veneers).
Porcelain is the most popular material at ArtSmiles. It gives a natural long-lasting look, which matches your natural teeth colour. It is highly resistant to staining and discolouring, which makes it better than other materials.
Dental veneers can be used to fix the following problems:
Far too often, people will try to avoid seeking professional dental treatment and live with damaged or crooked teeth. By avoiding treatment, people are only increasing the chance of pain or infection. A chipped tooth can risk exposing the inside of the tooth, causing pain when eating, drinking or biting down on something.
By investing in a dental veneer treatment, our clinical team can help you change the size, shape and shade of your teeth for your specific needs.
At ArtSmiles, our experts perform an initial detailed consultation and examination to discuss your objectives and determine if the dental veneers treatment is suitable for you. After that, our practitioner scans your mouth, and dental veneers are created to match the colour, size, and shape of your desired new smile.
Our dentist may suggest a dental veneer if you have any of the following issues with your teeth:
ArtSmiles has a variety of financing options available to suit every patient’s needs, so money should not be a barrier to an improved dental health and appearance.
No, you can care for your veneer as you care for your teeth, with routine brushing and flossing and regular trips to the dentist to check for any issues with fit or construction.
Veneers are a popular dental treatment. They are strong, look natural and can last for a long time with correct care. Porcelain veneers don’t change colour over time and they are durable and scratch resistant. They dramatically improve a person’s smile by correcting the appearance of the teeth, transforming your smile into aesthetically pleasing natural look. They don’t affect the function of your mouth, there is no need for a surgery and the recovery is quick.
In Australia, a Composite Veneer varies from $210 and $600, and the cost of each Ceramic Veneer varies from $660 to $1,825.
The cost of getting veneers can vary depending on the number of veneers, scale of treatment required as well as the type of veneers that you get. Our experts will recommend a treatment option best suited to you and give you an estimate of the price and payment options during your free consultation visit.
We offer a number of dental financing options that enable you to pay over time. This way, you can start enjoying your veneers as soon as they are placed. We accept a wide range of payment methods and have plenty of flexible pay later financial options including Afterpay, TLC, Humm and Access My Super.
The full pricing breakdown can be found under our comprehensive cost of veneers.
What are the Advantages of composite veneers ?
What are the Advantages of porcelain veneers ?
Follow these six simple tips to make your veneers last:
Composite veneers can wear under pressure, so if you are prone to grinding your teeth, you might want to protect them while you sleep. As they are also not as stain resistant as natural teeth or porcelain, avoiding drinks or food that can exacerbate staining as well as regular polishing is advised.
Porcelain veneers are much closer to natural teeth in substance, and are always ‘measured and fitted’ in such a way that will be moulded to fit your mouth, so are much less susceptible to the above concerns. Take care of them as you would your natural teeth and they’ll be with you for long years!
Veneers can be applied to crooked or misaligned teeth to improve alignment or reduce protrusion. Using veneers to correct this is becoming more popular, as it takes only a matter of days from the start of the procedure to the end.
Dr. Cristian Dunker will make every effort to ensure your teeth look as natural as possible. In most cases, it would take a keen eye to identify veneers of any composition.
Dr. Cristian Dunker is a trusted Gold Coast Cosmetic Dentist, who has been working with Dental Veneers to create beautiful smile makeovers for many years. Having personally designed numerous smile makeovers, he has the experience, skill and artistic eye to give you the beautiful, natural smile that you have always wanted.
He has perfected the art of Cosmetic Dentistry to ensure that the smile transformation is comfortable, rapid and precisely crafted to give you a smile that is perfectly suited to your face and your personality.

Post-Operative Instructions for All-on-X Temporary Bridge Protect Your Implants and Healing Smile During This Critical Phase You’ve completed your All-on-X surgery and received your temporary

Post-Operative Instructions for Veneers, Crown or Bridge Preparation Caring for Your Temporary Crown or Bridge After your tooth is prepared for a crown or bridge,

Understanding Veneer Materials: A Comprehensive Guide Introduction Dental veneers have revolutionized cosmetic dentistry, offering patients the opportunity to achieve aesthetically pleasing smiles.
Want to find out about how ArtSmiles can help you achieve your perfect smile? Come for a free consultation to find out.
or call us on (07) 5588-3677